Причины обветривания кожи на губах
Деление по характеру проявлений
В медицинской практике выделяют множество различных форм рассматриваемой патологии, многие из которых градируют по особенностям их патологических проявлений. Ниже описаны наиболее частые случаи.
1. Ангулярная форма
В народе данный тип патологии также принято называть «заедами». В зависимости от возбудителя, ангулит может быть кандидозным (поражение эпителия грибками рода Candida) или стрептококковым (воспаление вызывается стрептококками). Развивается при авитаминозе, при наличии в организме ВИЧ-инфекции, сахарного диабета, кариеса. Также провоцирующими факторами могут стать привычка грызть ногти, размачивание эпителия из-за частого облизывания.
Ангулярная форма
2. Катаральная форма
Одна из самых распространенных форм, поскольку возникает в результате механических повреждений, ссадин, царапин и инфицирования бактериями. Провоцируют ее появление и частое смачивание красной каймы слюнной жидкостью, а также воздействие чрезмерно горячего, влажного или сухого воздуха. Проблема проявляет себя гиперемией и выраженной отечностью. В некоторых случаях наблюдается незначительное шелушение эпителия. Явление может иметь как инфекционный, так и неинфекционный характер.
Катаральная форма
3. Экзематозная форма
Болезнь обычно возникает по причине реакции организма на аллергены (продукты питания, косметика, медикаменты, материалы, используемые в стоматологии при протезировании или пломбировании зубов). Основное ее отличие заключается в наличии у пациента экземы в анамнезе. В острой стадии болезнь приводит к образованию чешуек и корочки на губах, а также их выраженной отечностью. Пациенты обычно жалуются на зуд и жжение. Зачастую поражение захватывает области, прилегающие к красной кайме.
Экзематозная форма
4. Эксфолиативная форма хейлита
Эксфолиативный хейлит чаще встречается в роли хронической проблемы, поражающей середину губ, где находится вертикальная складка. Он может быть спровоцирован недостатком витамина B2, снижением иммунитета, сбоями в работе щитовидной железы, психическими расстройствами. Также провоцирующими факторами часто выступают вредные привычки (курение или покусывание губ). Однако главной причиной проблемы считается психоэмоциональное нарушение – депрессии, сильные эмоциональные потрясения, постоянные стрессы. Воспалительный процесс поражает красную кайму, появляются чешуйки, плотно спаянные с подлежащей тканью. Пациенты жалуются на пересушенность эпителия и жжение.
Эксфолиативная форма
5. Гранулематозная формы (хейлит Мишера)
Это поражение слизистой, для которого характерно сильное распухание губ. Зачастую больше всего «страдает» нижняя часть кожно-мышечной складки. Такая припухлость в один из периодов становится меньше, но позже увеличивается вновь. К тому же развитие патологического процесса сопровождается образованием в толще мягких тканей мельчайших гранулем – именно из-за этого и утолщаются ткани. Этиология развития данного явления так и не установлена. Есть предположения, что в основе проблемы лежат нарушения в функционировании сосудов и нервных волокон, а также инфекционное заражение. Однако это лишь гипотезы, которые пока не имеют под собой доказанных фактов.
хейлит Мишера
Лечение трещин на губах в домашних условиях
Трещины на губах лечат заживляющими и восстанавливающими средствами. Для использования в домашних условиях отлично подходит цинковая мазь, обладающая подсушивающим эффектом.
При регулярной обработке препаратами на основе цинка, на месте трещины появляется корочка, которая впоследствии заживает и отпадает сама по себе. У подобной мази нет ограничений по количеству использования в течение дня, лечение производится до полного заживления.
Но в том случае, если на трещине образуется гной, использование мази на основе цинка недопустимо. При подобных симптомах необходимо обратиться к врачу для назначения препаратов.
Терапевт может прописать антибиотик Левомецитин или его аналоги. Данное средство обладает противовоспалительным противогрибковым эффектом, быстро убирает гнойники на губах и заживляет ранку.
Левомецитин содержит в составе обезболивающие компоненты, что помогает с первого дня лечения избавиться от болевых ощущений.
Если трещины на губах вызваны аллергической реакцией, для скорейшего выздоровления необходимо искоренить источник раздражения. Как правило это некачественная косметика или средства гигиены. Следует вычислить, на какой препарат или продукт возникает аллергия и искоренить его из обихода. Помочь в этом может врач-аллерголог.
Профилактика возникновения трещин
Для обеспечения красоты лица и придания ему ухоженности необходимо принимать профилактические мероприятия по уходу за кожей губ, предотвращения возникновения разных заболевания.
Профилактика предусматривает соблюдение следующих рекомендаций:
В качестве массажера используется обычная зубная щетка. Перед началом процедуры нужно смазать поверхность губ питательным кремом или витаминизированным маслом. Круговыми щадящими движениями в течение 2 минут проводится массирование щеточкой. Массаж ускоряет циркуляцию крови в губах, делает их аппетитными и сексуальными.
- Отказ от некачественных ярких, насыщенных тонов губных помад.
Эта косметика имеет в составе массу красителей, которые пересушивают поверхность губ, помогает возникновению на них микротрещин.
- Нанесение питательных, натуральных лечебных масел перед применением декоративной косметики.
- Ежедневное использование при утреннем туалете косметологических средств с увлажняющим эффектом.
- Применение ароматотерапии, благоприятно влияющей на эпидермис, на весь организм.
- Отказ от самолечения. Иногда причиной проблем на губах является не недостаток витаминов, переохлаждение, а наличие герпесной инфекции. Применение увлажняющих кремов не спасет. Придется пройти медикаментозное лечение.
- Сведение к минимуму времени пребывания над леденящем, сухом ветре.
- Соблюдение здорового питания, ведение правильного образа жизни.
- Соблюдение правил личной гигиены.
Эта проблема растрескивания, шелушения губ волнует взрослых, детей с подростками. Ее возникновение могут спровоцировать погодные факторы, некоторые внутренние болезни организма.
В качестве лечения растрескавшихся, шелушащихся губ используются как медикаментозные, так и народные средства. Все зависит от того, какой диагноз поставит лечащий врач.
http://fb.ru/article/165412/pochemu-gubyi-sohnut-i-shelushatsya-prichinyi-metodyi-lecheniyahttp://rosy-cheeks.ru/shelushatsya-guby.htmlhttp://feedmed.ru/starenie/litsa/treskayutsya-guby-prichiny.html
Как избавиться от проблемы у косметолога
Прежде чем отправляться к специалисту, рекомендуем выяснить, имеет ли он лицензию и соответствующую квалификацию. К сожалению, в последнее время нередко открываются кабинеты, в которых ситуацию могут ухудшить: косметология – это раздел медицины, и обычных курсов для правильной постановки диагноза и выбора лечения недостаточно.
Сертифицированный профессиональный косметолог на приеме порекомендует, как избавиться от шелушений на коже и какие процедуры можно для этого провести. В их числе:
- Специальный корректирующий уход с косметикой, которая проникает через эпидермальный барьер.
- Парафинотерапия – жидкий теплый парафин создает парниковый эффект, который способствует увлажнению кожи.
- Биоревитализация – инъекционная методика введения в верхние слои препаратов на основе гиалуроновой кислоты.
- Бережный кислотный пилинг, который показан в том случае, когда причины появления сухости не состоят в серьезном системном заболевании.
Симптоматика
Симптомы сухости губ
Данный симптом может сопровождаться следующими признаками клинической картины:
- местное повышение температуры, жжение губ;
- шелушение;
- образование трещин вокруг губ и на самих губах;
- зуд;
- заеды в уголках рта;
- ярко выраженное покраснение;
- кровотечение.
Использование крема или тому подобных косметологических, медикаментозных средств для устранения данного симптома без выявления этиологического фактора, может привести к развитию осложнений. Поэтому следует своевременно обращаться к врачу за консультацией.
При наличии определённых патологических процессов в организме, общая симптоматика может дополняться специфическими признаками. Возможно проявление следующих симптомов:
- нестабильная температура тела, субфебрилитет;
- признаки общей интоксикации организма;
- нарушение в работе ЖКТ;
- желтушность кожных покровов, боли в области правого подреберья (при почечной недостаточности);
- слабость, повышенная утомляемость.
При дерматологических заболеваниях сухость губ может сопровождаться такими специфическими признаками:
- кожа вокруг губ шелушится;
- зуд, жжение;
- высыпания в виде прыщей, шелушащихся пятен;
- местное повышение температуры;
- сухость кожи, повышенная восприимчивость к внешним раздражителям;
- ломкость ногтей, волос.
При инфекционных процессах в организме, кроме общей клинической картины, могут присутствовать признаки общей интоксикации организма, характерные высыпания на коже. Поэтому самолечение при проявлении такого симптома недопустимо.
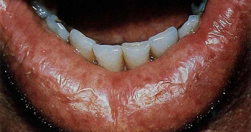
Заеды в уголках рта
Почему сохнут губы у мужчин и у детей
А почему сохнут губы у мужчин и детей? Основная проблема в том, что они намного реже используют уходовые средства, в том числе защитные увлажняющие бальзамы. Поэтому губы постоянно сохнут и обветриваются.
У детей сухость часто связана с обезвоживанием и авитаминозом: дети не всегда следят за количеством потребления воды и полезных продуктов. Губы пересыхают при злоупотреблении шоколадными блюдами и цитрусовыми.
Также на сухость влияют перепады температур: дети могут много времени проводить на улице, не замечая жару или холод. Не менее часто губы высыхают из-за бактериальных и вирусных инфекций.
Домашние средства против сухости губ
Бороться с потерей влаги можно различными способами.
Я их все проверила на себе – действительно очень на пользу губам такой тщательный уход.
Витамины для губ
Два раза в день, преимущественно в утренние и в вечерние часы, на очищенные губы наносится масляный экстракт витамина А или Е.
Подобные эссенции в капсульной форме доступны в любой аптечной сети.
Витаминная смесь равномерно распределяется по коже и оставляется до полного впитывания.
Особенно полезно обрабатывать таким средством уголки губ, когда на них появляются заеды.
Внутрь стоит применять поливитаминные комплексы.
Бальзамы для губ
Использование бальзамов актуально круглый год. Они помогут восстановить и защитить кожу от пагубного воздействия ультрафиолета, мороза, ветра.
Средство можно использовать несколько раз на протяжении дня.
Желательно выбирать те препараты, которые обогащены витаминами и маслами – их действие направлено на устранение шелушения и сохранение упругости.
Я вам могу порекомендовать вот эти, проверенные мной, натуральные бальзамы для губ, о которых я более подробно рассказывала здесь.
Маски для губ
Для восстановления кожи губ подойдут самые простые рецепты.
Для лечения глубоких трещин в равных пропорциях смешиваются сметана и морковный сок. Маска распределяется равномерным слоем и выдерживается 7 минут.
Удаление производится обычной водой. После 7-8 процедур кожа перестанет трескаться и станет по-прежнему красивой.
В профилактических целях можно использовать смесь, составленную из огуречного сока, творога, сметаны, меда.Субстанция используется стандартным способом и смывается спустя 15 минут.
Смягчающие маски для губ получаются на основе тертого яблока и сливочного масла. Этот состав эффективен от сильного шелушения, яблоко помогает вернуть упругость,масло дарит глубокое питание.
Если перед процедурой провести скрабирование, она даст максимальный эффект.
Рецепт самого простого скраба для губ : смешайте мед и коричневый сахар.
Масла для губ
Все масла – это ценный источник витамина Е, который интенсивно восстанавливает кожу губ.
Для реализации лечебных процедур рекомендовано использовать масло авокадо, персика, зародышей пшеницы или оливы.
Все средства помогут достичь глубокого увлажнения тонкой кожи и обладают регенерирующим действием. Ранки и трещинки будут заживать вдвое быстрее.
Интересный видео -рецепт, как сделать домашний бальзам для губ
Что делать, если представленные способы оказались неэффективными?
Если предпринятые меры не принесли должного результата, и все равно сохнут губы, целесообразно обратиться к врачу, значит проблема уже со здоровьем и где-то глубокого внутри вашего тела.
Я думаю, что в этом случае не стоит рисковать и заниматься самолечением.
Ухаживайте за собой правильно и будьте красивы.
Подписывайтесь на мою рассылку, я планирую рассказать еще очень много интересного в своем блоге.
C вами была Алена Яснева, всем пока!


http://www.ladywow.ru/treskaetsja-kozha-v-ugolkah-gub.htmlhttp://www.syl.ru/article/359377/pochemu-treskayutsya-ugolki-gub-osnovnyie-prichinyi-kak-i-chem-lechithttp://zdorovyda.ru/pochemu-soxnut-i-treskayutsya-guby/
Причины заболеваний губ у человека
Воспалительный процесс, который возникает при заболеваниях губ, называется хейлитом. Кожа в этом участке лица очень уязвима. Губы легко пересыхают из-за холода, ветра, солнечного излучения. Возникает раздражение, и без лечения ситуация постепенно усугубляется. Довольно часто причиной развития заболеваний губ и полости рта бывает аллергия. Реакция может возникать на некоторые пищевые продукты или косметические средства. Кроме того, иногда воспаление губ является индикатором той или иной системной патологии.

Чаще всего кожа губ реагирует на заболевания, сопровождающиеся эндокринными нарушениями, а также на инфекционные процессы. Кроме того, хейлиты возникают из-за авитаминоза, расстройств в работе ЖКТ, снижения сопротивляемости организма. В воспалительной реакции может преобладать инфильтративный или экссудативный компонент. Существуют и специфические факторы, способствующие развитию данной патологии. Давайте разберемся, какие еще есть причины заболеваний губ.
Профилактика хейлита
Основная профилактика хейлита – ведение здорового образа жизни и своевременное лечение любых инфекционных и аллергических заболеваний. Базовый список мер:
- Правильно питайтесь – сбалансированное меню должно содержать обилие фруктов, овощей, зелени, орехов, рыбы, качественных молочных продуктов.
- Сократите использование косметических средств – старайтесь выбирать гипоаллергенные составы и постоянно следите за реакцией кожных покровов.
- Дозируйте свое пребывание на открытом ветру или под действием прямых солнечных лучей.
- Берегите кожу губ от воздействия физических и химических повреждений.
- Периодически курсами принимайте витаминно-минеральные комплексы (после консультации с врачом).
- Откажитесь от вредных привычек.
- Своевременно обращайтесь к медицинским специалистам за консультацией при наличии характерных симптомов.
Помните: ваше здоровье – самая большая ценность, и постоянный контроль за его состоянием очень важен для поддержания работоспособности организма, особенно в преклонные годы.
Деление по природе происхождения
Теперь рассмотрим классификацию хейлита, исходя из природы его происхождения. В основе следующих разновидностей патологии лежат конкретные причины.
1. Метеорологический (актинический) хейлит
Начинает проявляться из-за неблагоприятного воздействия погодных условий (влажности или сухости воздуха, резких колебаний температурных показателей, ветра и т.д.). При этой форме не наблюдаются патологические изменения на участках вокруг рта и слизистых оболочках. Эрозии и трещины появляются в том случае, если человек постоянно облизывает губы.
Частое облизывание губ приведет к метеорологическому хейлиту
Есть также актинический хейлит, который часто путают с метеорологической болезнью губ. На самом деле можно отнести его к подвидам рассматриваемой формы. В данном случае патология поражает людей, чутко реагирующих на ультрафиолетовые излучения. Чаще всего воспаления затрагивают нижнюю губу, т.к. она более подвержена воздействию солнечных лучей.
2. Кандидозная форма
Виновниками появления кандидозной формы патологии выступают дрожжеподобные грибки рода Candida. Они активно начинают размножаться на фоне снижения иммунитета, обострения хронических болезней, приема антибиотиков или вследствие попадания в организм вирусных инфекций. Кандидозный хейлит локализуется даже на языке, небных дужках и внутренней поверхности щек. Из-за него часто появляются пленка белесо-серого цвета или светлый творожистый налет, под которым скрывается покрасневшая и кровоточащая слизистая оболочка.
Кандидозная форма
3. Атопическая (контактно-аллергическая) форма
Является следствием аллергической реакции организма на раздражители. Атопический вид хейлита обычно становится симптомом атопического дерматита или нейродермита, поражение не локализуется на слизистых рта и чаще всего возникает у детей, причем в возрасте до 7-10 лет. В значительной степени данная форма аллергического хейлита обусловлена влиянием окружающей среды и генетической предрасположенностью человека к аллергии. Но патологический процесс могут «запустить» расстройства в работе ЦНС, патологии эндокринной системы, стрессы, чрезмерные физические нагрузки, нарушение микрофлоры кишечника и болезни ЛОР-органов.
Атопическая (контактно-аллергическая) форма
Контактно-аллергический подвид болезни проявляется в виде замедленной аллергической реакции после контактирования красной каймы с косметическими или гигиеническими средствами (зубными пастами, помадами), пластмассой, входящей в состав зубных протезов и прочими изделиями, которыми до этого пользовался зараженный человек.
4. Гландулярная форма
Воспаление такого типа наблюдается при наличии проблем желез, которые выделяют слюну. Патология будет характеризоваться постоянным слюнообразованием и расширением протоков. Причиной проблемы может быть как врожденная, так и приобретенная гиперфункция и гиперплазия слюнных желез в области красной каймы. В этом случае наблюдается практически непрерывное выделение слюнной жидкости, из-за чего губы большую часть времени остаются влажными, но когда высыхают – начинают трескаться и сильно шелушиться. Иногда пациенты жалуются на зуд и ороговение эпителия. Отличительным признаком данный формы патологии является образование красных точек.
Гландулярная форма
5. Гиповитаминозная форма
Толчком для развития проблемы становится нехватка витаминов группы B в организме на протяжении длительного времени. Характерная особенность ее заключается в том, что одновременно с повреждениями часто возникает глоссит – разбухание языка. Он приобретает ярко-малиновый оттенок и становится гладким. Также на данном органе отпечатываются следы зубов. Красная кайма начинает шелушиться и краснеет, на губах появляются вертикальные трещины, из-за чего может появиться кровоточивость.
Гиповитаминозная форма
6. Хейлит Манганотти
Одной из основных причин развития патологии считается старение организма – на фоне этого естественного процесса снижается иммунная защита и нарушается работа внутренних органов, уменьшается секреция слюны. Из-за этого на губах пожилых людей так часто можно заметить кровоточащие ранки и язвочки.
Хейлит Манганотти
7. Люпус-хейлит
Форма представляет собой одно из проявлений системной красной волчанки, которая находится на пике активности. Патологический процесс развивается вследствие застоя избыточного количества крови в сосудистой системе губ.
Лечение хейлита
Различные формы хейлита отличаются подходом в лечении. В комплексе воздействие может включать:
- коррекцию психоэмоциональной сферы – невролог прописывает успокаивающие препараты, транквилизаторы, психолог или психотерапевт проводит соответствующую психотерапию;
- физиотерапию – местно назначают лечение лазером, ультразвуком, магнитотерапией, электрофорезом; они снимают раздражение, ускоряют регенерацию тканей;
- медикаментозную симптоматическую терапию – назначают негормональные противовоспалительные средства, при выраженном воспалении – гормональные препараты;
- иммунотерапию – укрепляют иммунную систему приемом иммуномодуляторов и иммуностимуляторов;
- витаминотерапию – большое значение имеет прием витаминов А, С, группы В (преимущественно витамина В2);
- хирургическое лечение – характерно при гландулярном хейлите с увеличением слюнных желез; применяют как лазерную абляцию хирургическим лазером, так и прямое удаление участков железы;
- противоаллергическую терапию антигистаминными средствами.
Дополнительно врач может назначить диетотерапию с исключением продуктов, провоцирующих аллергию или химическое раздражение тканей (острую пищу, солености и маринады). При длительном пребывании на улице в обязательном порядке нужно пользоваться специальными защитными средствами.
Лечение
При выявлении главной причины развития сухости губ проводится соответствующая базисная терапия. Если косметический дефект вызван погодными условиями, неподходящей косметикой, аллергической реакцией или гиповитаминозом, то терапия включает в себя такие мероприятия:
- ликвидация провоцирующего фактора — прекращение использования неподходящих косметических средств, сокращение продолжительности времяпровождения на улице в неподходящую погоду;
- прием поливитаминов;
- использование препаратов местного действия для устранения симптомов недуга — мазь от трещин (например, Бепантен, его вы можете купить в аптеке), примочки;
- правильное питание;
- прием успокоительных медикаментов, исключение стрессов;
- сведение к минимуму нервного напряжения.
Если сухость губ вызвана слишком чувствительной кожей, то в этом случае потребуется помощь дерматолога или косметолога, которые подберут оптимальные косметические средства для ухода за этим типом кожи. При ветреной и холодной погоде необходимо использовать гигиеническую помаду.
Важно понимать, что терапия должна быть комплексной. Использование одного или нескольких местных средств не избавит вас от проблемы, необходимо также менять свой рацион и поменьше нервничать
Лечение сухости губ
Сухость губ происходит по определенным причинам, выяснение и лечение которых – основная задача каждой прекрасной дамы или мужчины. Параллельно необходимо вылечить и устранить в домашних условиях и внешние дефекты.
Глубокие проблемы со здоровьем, из-за которых сохнут губы, лечатся с помощью соответствующих лекарственных препаратов, назначенных врачом. В отдельных случаях действенными оказываются аутогемотрансфузия (переливание больному собственной крови), УФОК (ультрафиолетовое облучение крови) и другие способы увеличения реактивности организма.
Если на какое-либо косметическое средство или продукт обнаружены признаки аллергии, то экспериментировать не стоит – забудьте навсегда о нем, каким бы вкусным или дорогим он не был. Если губы сильно болят, внутрь принимаются антигистаминные препараты.
Чтобы не дать губам сохнуть, шелушиться и болеть, нужно их постоянно защищать от холода или инсоляции, используя перед выходом на улицу гигиеническую помаду – и лучше с SPF-защитой, которая будет полезна и зимой. Также полезно использовать увлажняющие помады после еды и в течение дня.
Лечить авитаминоз придется не один, и не два дня – добавлением в рацион продуктов, содержащих полезные для кожи микроэлементы: орехи, зелень, овощи, рыбу и пр. Чтобы ускорить процесс восстановления баланса, необходимо в дополнение принимать аптечные витамины
Во время лечения сложных форм сухости и раздражения губ очень важно соблюдать гипоаллергенную диету, исключив из рациона землянику, икру, пряные травы, цитрусовые, острую пищу и алкоголь.
Не облизывайте губы! Да, ощущение сухости вызывает большой дискомфорт, но делать этого категорически нельзя – и вот почему: так лишь усугубляются симптомы сухости, к тому же, облизывание приводит к образованию мокнущих трещинок на фоне пересушенной кожи. Губы продолжают постоянно болеть, а вскоре появляется ощущение шершавости, стянутости и покалывания – впоследствии образуются глубокие трещины, которые трудно лечить.
Стоит всегда заботиться о здоровье зубов – проверять их на наличие кариеса, пародонта и прочих проблем. Санация очагов хронической инфекции в полости рта – ключ не только к свежему дыханию, но и гладкой, нежной коже губ.
Необходимо увеличить объем выпиваемой жидкости, чтобы избежать обезвоживания организма
Оптимальный вариант — стакан чистой воды утром и за полчаса до приема пищи.
Стоит поддерживать влажность воздуха в помещении, в котором проводится больше всего времени. Особенно важно не сушить кожу зимой.
Для улучшения состояния нежной кожи губ, стоит прибегнуть к применению противовоспалительных мазей, кремов и специальных масок. Это могут быть:
растительные масла (оливковое, облепиховое, масло жожоба);
тетрациклиновая, эритромициновая и оксолиновая мази, средства с глюкокортикостероидами (иногда лечить приходится гормоносодержащими мазями);
медовые, сметанные, творожные маски; маски из отвара семени льна, сока алоэ и пр
Санация очагов хронической инфекции в полости рта – ключ не только к свежему дыханию, но и гладкой, нежной коже губ.
Необходимо увеличить объем выпиваемой жидкости, чтобы избежать обезвоживания организма. Оптимальный вариант — стакан чистой воды утром и за полчаса до приема пищи.
Стоит поддерживать влажность воздуха в помещении, в котором проводится больше всего времени
Особенно важно не сушить кожу зимой.
Для улучшения состояния нежной кожи губ, стоит прибегнуть к применению противовоспалительных мазей, кремов и специальных масок. Это могут быть:
растительные масла (оливковое, облепиховое, масло жожоба);
тетрациклиновая, эритромициновая и оксолиновая мази, средства с глюкокортикостероидами (иногда лечить приходится гормоносодержащими мазями);
медовые, сметанные, творожные маски; маски из отвара семени льна, сока алоэ и пр
Забота о красоте губ – это важный ежедневный ритуал каждой девушки, которая хочет всегда выглядеть привлекательно для своего мужчины и всех окружающих. Соблюдение этих простых правил позволит всегда широко улыбаться и чувствовать себя прекрасно!
Причины сухости
Виновников того, что губы сохнут, трескаются и шелушатся, множество:
1. Резкие перепады температур и неблагоприятные погодные условия. Кожа очень тонкая и чувствительная, сальных желез на ней нет. Если взрослый или ребенок долго находится на ветру, солнце или морозе, то шелушение и сухость неизбежны.
2. Аллергия. Губы могут трескаться от неправильно подобранной зубной пасты. Ее компоненты слишком активны, травмируют нежную кожу и провоцируют сухость и шелушение. Зачастую зубная паста становится причиной трещин на губах у детей.
3. У женщин губы трескаются и сохнут из-за помады. Многие марки содержат вредные красители. Они сильно высушивают кожу, так что она начинает чесаться. Получается замкнутый круг. Женщина пытается скрыть недостаток при помощи помады, а она, в свою очередь, этот дефект вызывает.
4. Сниженный иммунитет и недостаток витаминов А, С и Е. Человек часто болеет, у него начинают трескаться и пересыхать губы. Именно снижение защитных сил организма сказывается на состоянии кожи губ у детей. Поэтому родителям нужно позаботиться о витаминной диете для своего ребенка.
5. Употребление недостаточного количества воды. Обезвоживание – это еще одна причина того, что губы пересыхают.
6. Простуда, при которой носовое дыхание становится затрудненным. Человек постоянно вынужден дышать через рот. При этом губы шелушатся, сохнут и трескаются.
7. Сухой воздух в помещении.
8. Горячая пища.
9. Стрессы, которым чаще подвержены женщины, также вызывают сухость кожи.
10. Снижение гемоглобина в крови провоцирует трещины и сухость.
11. Привычка облизывать губы. В жару, мороз или ветряную погоду подобные действия могут привести к появлению сухости и трещин на коже губ. Постоянное их прикусывание травмирует эпидермис и способствует проникновению инфекции. То же самое происходит и если человек часто трогает губы. Особенно это касается детей.
12. Аллергия на продукты питания, употребление чересчур острой, соленой и кислой пищи.
Сухие губы, появление на них трещинок и шелушения могут быть симптомами заболеваний:
- недуги ЖКТ – язва, гастрит, панкреатит;
- дисбактериоз кишечника;
- герпес;
- болезни поджелудочной и щитовидной железы;
- грибковые инфекции.
Определить сухую кожу можно по следующим признакам – наличие корочки, трещинок, легкого зуда, покраснения, шелушения, болевых ощущений. При появлении заедов человеку больно разговаривать, есть и вообще открывать рот.
Лечение сухости губ
Сухость губ происходит по определенным причинам, выяснение и лечение которых – основная задача каждой прекрасной дамы или мужчины. Параллельно необходимо вылечить и устранить в домашних условиях и внешние дефекты.
Глубокие проблемы со здоровьем, из-за которых сохнут губы, лечатся с помощью соответствующих лекарственных препаратов, назначенных врачом. В отдельных случаях действенными оказываются аутогемотрансфузия (переливание больному собственной крови), УФОК (ультрафиолетовое облучение крови) и другие способы увеличения реактивности организма.
Если на какое-либо косметическое средство или продукт обнаружены признаки аллергии, то экспериментировать не стоит – забудьте навсегда о нем, каким бы вкусным или дорогим он не был. Если губы сильно болят, внутрь принимаются антигистаминные препараты.
Чтобы не дать губам сохнуть, шелушиться и болеть, нужно их постоянно защищать от холода или инсоляции, используя перед выходом на улицу гигиеническую помаду – и лучше с SPF-защитой, которая будет полезна и зимой.
Лечить авитаминоз придется не один, и не два дня – добавлением в рацион продуктов, содержащих полезные для кожи микроэлементы: орехи, зелень, овощи, рыбу и пр. Чтобы ускорить процесс восстановления баланса, необходимо в дополнение принимать аптечные витамины.
Не облизывайте губы! Да, ощущение сухости вызывает большой дискомфорт, но делать этого категорически нельзя – и вот почему: так лишь усугубляются симптомы сухости, к тому же, облизывание приводит к образованию мокнущих трещинок на фоне пересушенной кожи. Губы продолжают постоянно болеть, а вскоре появляется ощущение шершавости, стянутости и покалывания – впоследствии образуются глубокие трещины, которые трудно лечить.
Стоит всегда заботиться о здоровье зубов – проверять их на наличие кариеса, пародонта и прочих проблем. Санация очагов хронической инфекции в полости рта – ключ не только к свежему дыханию, но и гладкой, нежной коже губ.
Необходимо увеличить объем выпиваемой жидкости, чтобы избежать обезвоживания организма. Оптимальный вариант — стакан чистой воды утром и за полчаса до приема пищи.
Стоит поддерживать влажность воздуха в помещении, в котором проводится больше всего времени
Особенно важно не сушить кожу зимой.
Для улучшения состояния нежной кожи губ, стоит прибегнуть к применению противовоспалительных мазей, кремов и специальных масок. Это могут быть:
растительные масла (оливковое, облепиховое, масло жожоба);
тетрациклиновая, эритромициновая и оксолиновая мази, средства с глюкокортикостероидами (иногда лечить приходится гормоносодержащими мазями);
медовые, сметанные, творожные маски; маски из отвара семени льна, сока алоэ и пр.
Забота о красоте губ – это важный ежедневный ритуал каждой девушки, которая хочет всегда выглядеть привлекательно для своего мужчины и всех окружающих. Соблюдение этих простых правил позволит всегда широко улыбаться и чувствовать себя прекрасно!
Профилактика хейлита
Профилактика состоит из следующих пунктов:
- укрепление иммунитета, поддержание здорового образа жизни
- использование кремов, помад с SPF
- применение гигиенических помад
- рациональное питание
- регулярные визиты к стоматологу
- грамотная чистка зубов дома, а также проведение профессионального снятия зубных отложений в кресле стоматолога
- исключение контакта с аллергенами
- прохождение ежегодного медицинского обследования для выявления общих заболеваний
- лечение системных заболеваний
- приём антибактериальных препаратов должен проводиться исключительно по назначению врача и совместно с курсом пробиотиков
1. Лечат ли хейлиты хирургически?
Да, некоторые формы требуют хирургического лечения (хейлит Мишера, гландулярный хейлит, хроническая трещина), но большинство хейлитов лечат консервативно.
2. Как узнать, что не хватает витаминов группы В?
Признаками нехватки витаминов группы В является быстрая утомляемость, бессонница, боли в мышцах, сухость слизистой рта, заеды, шелушение кожи лица, ломкие ногти, обмороки, проблемы с памятью. Самый верный способ – сдать комплексный анализ на витамины.
3. Хейлит – это на всю жизнь?
Есть формы хейлитов, которые постоянно рецидивируют, но даже в этом случае при соблюдении рекомендаций можно добиться крайне редких проявлений.
Как предотвратить шелушение кожи около губ?
Причины сухости и шелушения кожи вокруг рта вы теперь знаете, а также мы разобрали способы борьбы с проблемой, но существуют также эффективные профилактические меры. Они помогут предотвратить появление сухой кожи вокруг рта у ребенка и взрослых людей. Советуем также почитать, какие витамины требуется принимать при очень сухой коже: правильно подобранный витаминный комплекс ускорит регенерацию и поможет избежать проблемы.
Важно не применять увлажняющий крем для ухода за кожей перед выходом из дома, особенно в холодное время года. В профилактических целях иногда используйте домашний скраб из размоченных в жирном молоке овсяных хлопьев
Косметологи советуют использовать термальную воду, которая благоприятно влияет на кожу в области рта. Природное средство хорошо увлажняет и тонизирует эпидермис, насыщая кожу минеральными веществами.
В профилактических целях необходимо строго отказаться от дешевой косметики, а также отучиться облизывать губы. Вредная привычка является одной из главных причин сухости и шелушения губ, поэтому старайтесь от нее избавиться.
Заключение
Есть несколько эффективных домашних средств от потрескавшихся губ. Эти средства очень просты и могут быть легко сделаны в домашних условиях каждым. Выберете те, которые вам понравились больше всего из списка выше, и скоро вы увидите положительные результаты. Настало время попрощаться с дискомфортом и сказать привет красивым губам!
- Как обеспечить минимальный уход за кожей лица в домашних условиях и сохранить свою красоту;
- Очищающий тоник для лица — как купить лучший, не переплачивая;
- Бюджетная косметика: эффективность применения и возможный вред;
- Уход за кожей лица зимой, 5 распространенных заблуждений;
- Как выбрать хороший крем для лица с SPF и обеспечить защиту кожи т солнца.





























