Курс отбеливания
Для проведения отбеливания при помощи кап в домашних условиях, необходимо поместить контейнеры с активным агентом на зубы на время, указанное производителем. Это время зависит от действующего вещества, его концентрации и химической активности самого геля
Все эти характеристики отличаются от производителя к производителю и нужно обратить особое внимание на этот момент, прежде чем начинать процедуру
Какой тип геля используется для домашнего применения? Обычно в его основе лежит перекись водорода (концентрацией от 3% до 10%) или перекись карбамида (концентрацией от 10% до 25%). Густая консистенция позволяет точно нанести вещество на капу, чтобы обеспечить его правильное распределение после надевания.
После помещения кап на место, необходимо убрать лишний выдавившийся гель мокрым пальцем. Это позволит избежать раздражения десен.
Длительность ношения оговаривается каждым производителем и зависит от ряда условий. Минимальное время составляет 30 минут за один раз, но может продолжаться до двух часов и даже целой ночи
Обязательно обращайте внимание на этот параметр
По окончании указанного времени просто снимите капы, промойте их водой и почистите щеткой. Тщательно прополощите рот и почистите зубы пастой с высоким содержанием фтора. Это позволит уменьшить чувствительность.
Виды кап
Для отбеливания используются 3 разновидности кап:
При покупке стандартной или термопластической капы клиент получает гель для отбеливания, действующим веществом которого является перекись водорода. Также в составе представлен фтор и нитрат калия, которые помогают снизить чувствительность эмали.
Гель для наполнения индивидуальных кап подготавливается стоматологом. Врач использует нужную концентрацию перекиси водорода, а затем добавляет вещества, снижающие чувствительность зубов. Количество готовой пасты рассчитано на 2 недели.
При наличии значительного пожелтения эмали стоматологи рекомендуют использовать отбеливающий гель с повышенной концентрацией пероксида карбамида, а также состав, направленный на реминерализацию эмали. Последнее вещество носят на поверхность зубов после снятия капы.
Противопоказания к отбеливанию капами
Чтобы не навредить здоровью зубов и десен, следует ознакомиться с противопоказаниями к отбеливанию:
- возраст до 18 лет;
- непереносимость веществ, представленных в составе отбеливающего геля;
- беременность и лактация;
- различные заболевания зубов и десен;
- наличие пирсинга в области рта;
- срок менее 4 недель после удаления зуба.
Цена
Химическое отбеливание достаточно дорогостоящее, это связано с использованием специальных аппаратов и стоматологических гелей.
Стоимость процедуры зависит от выбранного метода и клиники:
- отбеливание с помощью лазера от 10000 до 15000 рублей;
- отбеливание Air Flow — 4000-6000 руб.;
- домашнее отбеливание системой Opalescence (с изготовлением индивидуальной капы) — до 16000 рублей;
- фотоотбеливание — 4500 руб.
В эту цену не входит предварительная очистка, лечение кариеса и других стоматологических проблем. При наличии прямых противопоказаний врач может отказать в проведении процедуры до полного устранения проблемы.
Плюсы и минусы
Начну с преимуществ. Во-первых, цена такого варианта отбеливания зубов в большинстве случаев получается меньше, чем у «офисных» методов. Во-вторых, никакого дискомфорта. Надел капу, походил немного, снял, прополоскал рот. В третьих – достаточно безопасно для зубной эмали. Это вам не содой натирать и не лимонным соком чистить.
Минусов мало, но они есть. Первый и самый существенный – уровень отбеливания. То, чего вы добьетесь в клинике, дома получить нереально. Эффект наступает не через полчаса-час, как при каком-нибудь «Зуме», а после нескольких процедур. При «запущенных» случаях есть вероятность того, что вам гель просто не поможет.
Достоинства и недостатки метода
Этот метод отбеливания имеет как достоинства, так и недостатки.
Достоинства:
- процедура проводится дома, без посещения клиники;
- имеется большой выбор отбеливающих препаратов;
- домашнее отбеливание намного дешевле профессионального.
Недостатки:
- для получения нужного результата приходится довольно долго носить капу (несколько часов);
- трудно правильно подобрать конструкцию по размеру челюсти (если она будет сидеть неплотно, то гель попадет в рот, вызвав раздражение);
- капы, которые продаются в большинстве аптек и имеют невысокую стоимость, обычно, неудобны в носке, они могут давить и натирать.

Главное достоинство применения зубных кап для отбеливания – это их доступность, т.к. это недорогой метод домашнего отбеливания, который можно самостоятельно приобрети в аптеке, магазине, через интернет.
Что говорят стоматологи?
Конечно, дантистам намного выгоднее привлечь людей к себе в клиники, но хотелось бы узнать, что они думают по поводу домашних методов. Почитав ответы опытных специалистов, я понял, что есть немало средств, которые они и сами рекомендуют своим пациентам. Так что нет ничего зазорного в том, чтобы пользоваться всеми этими гелями и капами.
Тут я в целом согласен. Только вот цена одной накладки в приличной клинике может превышать стоимость готового набора.
Насчет перекиси водорода мнения неоднозначные. Одни считают, что применять ее без контроля небезопасно, другие полагают, что гели прошли клинические испытания, третьи говорят, что смысл в таких веществах есть только тогда, когда выполняется активация специальными лампами. Логично, что каждый предлагает обратиться именно к нему.
Как работают капы для осветления зубов
Отбеливание зубов в домашних условиях капами происходит за счётхимической реакции. Основное действующее вещество — перекись водорода
, которая входит в состав геля.
Важно!
Этот способ отбеливания недорогой и щадящий, эффект наступает через 1—2 применения
, а сохраняется продолжительное время. Процентное содержание перекиси варьируется от 4 до 7%,
выбор зависит от цвета эмали
Попадая на поверхность эмали, происходит выделение активного кислорода
, который осветляет пигментные пятна и потемнения
Процентное содержание перекиси варьируется от 4 до 7%,
выбор зависит от цвета эмали. Попадая на поверхность эмали, происходит выделение активного кислорода
, который осветляет пигментные пятна и потемнения.

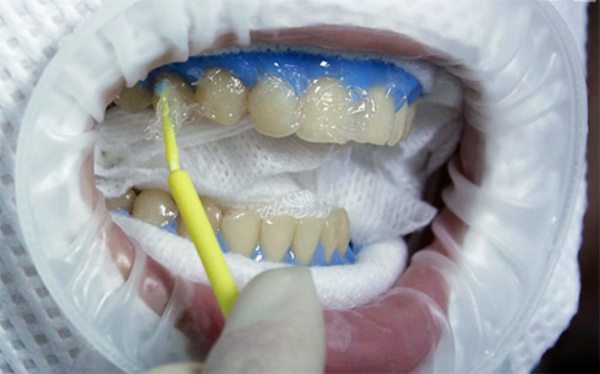
Фото 1. Процесс нанесения геля на приспособление для отбеливания зубов в домашних условиях.
Существует ещё одна разновидность геля: с содержанием карбамида, более щадящего компонента,
отличающегося абразивными свойствами. У этого средства воздействие на эмаль не такое агрессивное
, как в первом случае.
Внимание!
Недобросовестные производители могут добавлять в состав геля соду и кислоты, которые разрушают поверхность зуба и приводят к плачевным последствиям
Поэтому важно внимательно изучать состав продукта.. Изделия заполняются гелем и надеваются плотно на зубы, как правило, на ночь
Во время ношения кап нельзя принимать пищу и пить
, поэтому средство надевают в периоды сна
Изделия заполняются гелем и надеваются плотно на зубы, как правило, на ночь. Во время ношения кап нельзя принимать пищу и пить
, поэтому средство надевают в периоды сна.
Важно!
Необходимо удалить излишки вытекающего геля
, так как он вызывает раздражение слизистых
Домашнее отбеливание с капами и его противопоказания
- Кариес
, его наличие усугубит состояние эмали и поверхности зуба, усилит его чувствительность, спровоцирует трещины. - Тонкая эмаль
, при ней запрещено использование кап, иначе возникнет гиперчувствительность зубов. - Чрезмерное употребление сигарет и кофе
, т. к. не будет эффекта от процедуры.

- Применение успокоительных препаратов
, человек может попросту вовремя не снять капы с зубов и подвергнет их продолжительному химическому воздействию. - Лактация и беременность
: использование лучше отложить на другое время, т. к. во время этих состояний зубы женщины и так подвержены ухудшению, к тому же химические вещества могут передаться ребёнку. - Большое количество пломб:
под воздействием перекиси на них образуются трещины. - Несовершеннолетний возраст:
дентин не до конца сформирован у подростков, поэтому не следует подвергать поверхность зуба взаимодействию с отбеливающими компонентами проводя домашнее отбеливание зубов капами. - Наличие опухолей или прохождение курса химиотерапии:
воздействие на зубы химическим веществом способно спровоцировать осложнения.
Инструкция по применению
Четкое следование инструкции – залог 80% успешного осветления зубов в домашних условиях. Для этого нужно выполнять следующие действия:
- Провести гигиену полости рта – почистить зубы, обработать специальной нитью труднодоступные участки, промокнуть бумажным полотенцем эмаль.
- Достать капы и заполнить их внутреннюю поверхность отбеливающим гелем в соответствии с инструкцией, которую можно посмотреть на упаковке.
- Зафиксировать накладки на челюсти так, чтобы они плотно прилегали к эмали, не прикасаясь к деснам. Если набор термопластический, то капы предварительно размягчают в горячей воде.
В случае чрезмерного нанесения геля его удаляют сухим бумажным полотенцем. После процедуры тщательно полоскают рот
с целью устранения остатков средства. Носить капы можно до 8 часов
. Здесь все зависит от состава геля, уровня концентрации действующего вещества.
После того как капы сняты, зубы следует почистить пастой с фтором и прополоскать рот ополаскивателем.
Если при использовании данных изделий будут неприятные или болезненные ощущения, то курс следует немедленно прекратить
. Когда симптомы исчезают после перерыва, то процедуру можно возобновить. В любом случае надо консультироваться с врачом.
Если носить капы днем, то следует снимать их во время еды. Надо отметить, что кушать можно только спустя 2-3 часа после процедуры. Также в рационе должны отсутствовать красящие напитки и продукты, а от вредных привычек стоит вовсе отказаться. В обратном случае отбеливание капами не принесет результата.
Для наполнения капы достаточно будет 1 капли осветляющего геля. Стандартно они оснащены отметками – буквенными обозначениями и стрелками, поскольку зубы нижней и верхней челюсти по размерам отличаются.
Ухаживать за отбеливающими капами нетрудно. После использования их очищают от остатков геля и хранят в специальном проветриваемом футляре, который обычно прилагается при покупке изделий. Капы необходимо оберегать от механических повреждений и высоких температур.
Персональные и универсальные капы
Персональные капы
Персональные капы изготавливаются для каждого пациента в отдельности. Они будут идеально обволакивать челюсть и снижать издержки использования средства для отбеливания, так как оно не будет вытекать.Капы изготавливаются следующим образом:
- Врач делает слепки зубов.
- Затем производится гипсовая модель.
- Вырабатывается силиконовая капа.
- Производится срез лишних материалов по краям.
- Капы изготовлены из безвредного и мягкого материала, который сможет справиться с агрессивным гелем.
Универсальные капы не обладают преимуществами персональных, однако отличаются более низкой стоимостью. В некоторых наборах капы можно персонализировать. Они сделаны из пластика, который можно нагревать. После нагрева прикусите капу, и она примет форму вашей челюсти. Но все равно такая пластина не сравнится с персональной.Отбеливание зубов при помощи кап является достаточно безопасным и результативным методом. После проведения всех процедур эмаль станет светлее на несколько тонов. Итог зависит от особенностей зубов конкретного человека, от его гигиены полости рта и рациона. При соблюдении всех инструкций и советов стоматолога вы сможете закрепить результат на долгое время.
https://youtube.com/watch?v=DmZ5q6Xa3wQ
Процедура изготовления капп
- Предварительно пациент направляется на консультацию к стоматологу, который и определяет, возможно ли в конкретном случае отбеливание зубов каппой.
- При необходимости врач может выполнить профессиональную чистку моляров.
- После снимаются оттески, по которым и будут изготовлены отбеливающие капы для зубов, слепок должен быть очень качественным, что позволит учесть при производстве все анатомические особенности зубного ряда пациента.
- В специализированной лаборатории по оттискам изготавливают сами элементы, обычно используют мягкие пластиковые пластинки, толщина которых от одного миллиметра, это прозрачный пластик. Предусматривается в конструкции и резервуар глубиной не менее трех миллиметров, а края капп подрезаются до уровня десны, таким образом, исключается попадание геля на десны.
- После конструкция передается уже стоматологу. В случае необходимости, стоматолог может выполнить индивидуальную припасовку капп.
Использование изделия
Сегодня приобрести капу может любой человек, ведь рецепт для этого не нужен. Некоторые люди покупают изделие для отбеливания без предварительной консультации стоматолога. Делать этого не стоит, поскольку в составе отбеливающего геля представлены сильнодействующие вещества, которые в результате неправильного применения могут повредить эмаль зубов, а также травмировать слизистую и вызвать воспаление десен.
Чтобы избежать возможных последствий, необходимо придерживаться таких рекомендаций:
при выборе отбеливающего геля следует обращать внимание на концентрацию перекиси водорода. Если ее очень много, то капу можно носить в течение 1-3 часов
Изделия с минимальным количеством перекиси разрешено надевать на ночь;
необходимо следовать всем рекомендациям, написанным в инструкции;
выполнять отбеливание стоит после профессиональной чистки от камня;
перед использованием капы рекомендуется почистить зубы пастой.
Противопоказания к применению
Существуют следующие противопоказания для подобного отбеливания:
- Возраст до 18 лет.
- Вынашивание и кормление грудью ребенка.
- Непереносимость веществ, которые присутствуют в составе отбеливающего геля;
- Пирсинг в ротовой полости.
- Срок меньше месяца после удаления зуба.
- Повышенная чувствительность эмали. Когда зубы слишком восприимчивы к температурным и химическим раздражителям, то отбеливание спровоцирует болезненные ощущения.
- Потемнение эмали после депульпирования либо наследственного характера. Обусловлено это тем, что при унаследованном темном оттенке зубов устранить проблему достаточно сложно, поскольку при снятии верхнего слоя эмали под ним будет такой же. Когда зуб темнеет после удаления нерва, восстановление цвета невозможно.
- Острый кариес. Если он не пролечен, то это приведет к болезненности при отбеливании.
- Наличие передних пломб или коронок. При улыбке они заметны и не изменят своего оттенка после процедуры, что будет существенно портить впечатление.
Противопоказания
Перед тем как приступить к домашнему отбеливанию, необходимо посетить стоматологический кабинет и произвести процедуру профессиональной чистки полости рта. При помощи профессиональных устройств врач устранит весь зубной налет и минерализованные отложения. Далее стоматолог начинает диагностировать зубы на наличие кариеса и воспалений десен
Важно убедиться, что нет незапломбированных полостей. После этого начинается подбор отбеливающих препаратов
Противопоказания
Помимо этого, отбеливать зубы при помощи специальных кап не следует в таких ситуациях:
- Отбеливающие капы не назначаются при наличии у пациента аллергии на перекись водорода или карбамида. Выявить такую аллергию можно только опытным путем: после первой процедуры начинают болеть зубы или десны. Если появилась подобная симптоматика, то курс прерывается.
- Отбеливание противопоказано беременным женщинам. Во время беременности женский организм подвергается радикальным переменам, которые касаются и зубов. Повышается зубная чувствительность, они становятся очень хрупкими. Стоматологи категорически не рекомендуют рисковать в такой ситуации.
- Детям не стоит отбеливать зубы. В юном возрасте у подростков плохо сформировались твердые ткани. Они являются тонкими. В такой ситуации капа могут спровоцировать нервные воспаления.
Профессиональная продукция
Особенности ухода
Каппы для отбеливания просты в уходе. Их следует содержать в постоянной чистоте, ополаскивать в проточной прохладной воде после использования, а когда существует необходимость, внешнюю сторону элементов следует очищать обычной зубной щеткой без пасты. Для их хранения потребуется специальный футляр, который предохранит от механического воздействия, при этом в футляре имеется небольшое отверстие, куда проникает воздух
Без сомнения, каппы для отбеливания зубов прослужат своему владельцу не один год. Однако не стоит забывать, что в погоне за ослепительной и такой желанной улыбкой можно потерять здоровье, во всем должна быть мера!
Этапы проведения
После подготовительного этапа стоматолог наносит специальную полирующую пасту и совместно с пациентом выбирает методику химического отбеливания (ультразвуковое, лазерное и т. д.).
Затем пациенту в рот помещают слюноотсос, который помогает изолировать зубы от попадания нежелательной слюны.
На следующем этапе на десны наносят специальное защитное средство, которое предотвращает негативный эффект при возможном попадании вредных химических веществ.
Наносится стоматологический гель с перекисью водорода (концентрация от 16 до 30%). Затем происходит активизация химического геля с помощью лазера, световой лампы или ультразвука.
Продолжительность зависит от конкретной методики, эффект виден практически сразу.
В видео смотрите проведение процедуры в условиях клиники.
Виды кап для домашнего отбеливания зубов
- Стандартные. Такие элементы изготавливают в массовом порядке, цена у них доступная, однако так как не учитываются индивидуальные особенности строения зубов у человека, такие капы могут доставлять дискомфорт при ношении;
- Индивидуальные. Такие элементы необходимо заказывать у стоматолога, он подбирает аппарат, учитывая форму прикуса пациента;
- Термопластические. При их изготовлении используется специальный материал, он при воздействии горячей воды размягчается, таким образом, такие каппы с отбеливающим гелем также становятся комфортными для человека.
Отбеливание капами можно проводить и в домашних условиях
Домашнее отбеливание зубов Zoom
Устранение желтого налета посредством данной технологии – современный способ отбеливания, в основе которого находится фото активация состава. Есть в продаже Zoom 3 и Zoom 4. Комплекс в ходе своего функционирования обладает несколькими особенностями.
- Инициирование процесса окисления за счет специальной лампы с ультрафиолетом;
- Повышение температуры активных веществ за счет действия светового луча;
- Зубы по окончании процедуры обретают белизну естественного типа и происхождения.
Достоинства технологии
- Результат после первого сеанса;
- Гарантия – отбеливание не зависит от причин потемнения;
- Отсутствие болезненности – анестезия не актуальна;
- Продолжительность результата несколько лет;
- Безопасность применения системы без разрушения эмали;
- Отсутствие длительного времени восстановления.
Недостатки технологии
Домашнее отбеливание зубов с капами Zoom имеет и негативные стороны:
- Повышение гиперчувствительности к компонентам;
- Вероятность возникновения раздражения;
- Повышение температуры твердой ткани;
- Вероятно, неестественно сильное осветление.
Противопоказания
Не получится довольствоваться результатом при отсутствии достигнутых 18-ти лет, присутствии аллергических реакций на компоненты геля, заболевании кариесом, повреждениях структуры зубов, фотохимическом облучении, эпилепсии, приеме определенных групп лекарственных препаратов.
По итогу можно посмотреть фото до и после, чтобы была понятна разница, и заметен результат.
Уход за зубами после завершения отбеливания с помощью кап
Получив необходимый эффект от использования такого вида отбеливания, не стоит забывать о правилах ухода за осветлёнными зубами.
Ограничьте употребление красящих продуктов:
моркови, кофе, шоколада, свёклы, чая, ягод (хотя бы в первую неделю после комплекса процедур).
А также рекомендуется уменьшить употребление сигарет, табака,
т. к. они очень быстро воздействую на эмаль, делают её тёмной. После принятия пищи необходимо пользоваться зубной нитью, по возможности полоскать рот. Закрепить результат помогут молочные продукты
, речная и морская рыба, все виды каш.
Важно!
Особое внимание стоить уделить зубной щётке. Предпочтение рекомендуется отдать мягкой и качественной щетине
, чтобы не нанести вред эмали
Преимущества и недостатки использования кап для отбеливания зубов
Как и у любого метода осветления зубной эмали, у домашнего отбеливания с применением геля и капы есть свои достоинства и недостатки.

К преимуществам относятся следующие характеристики:
- Если в ходе проведения процедуры возникает пощипывание или раздражение, капы можно без труда снять и прополоскать рот водой.
- Цена на домашнее отбеливание является доступной для широкого круга населения, она существенно ниже офисного химического или фотоотбеливания.
- При использовании индивидуальных кап достигается максимальный комфорт, при необходимости дневного ношения это практически незаметно окружающим.
- Не нужно долго держать открытым рот, как при офисных процедурах.
- Можно самостоятельно решать, в какое время удобнее всего носить капы.
- Осветление эмали осуществляется со всех сторон, так как гель равномерно распределяется в капе.
- Капы можно использовать многократно, особенно если они изготовлены индивидуально.
Домашнее отбеливание имеет и негативные стороны:
- Во время проведения процедуры осветлению подвергается лишь естественная эмаль, пломбировочный материал не изменяет свой цвет, поэтому при наличии реставраций на передних зубах потребуется их замена.
- Для получения хорошего результата нужно будет потратить немало времени. В среднем, курс домашнего отбеливания продолжается 10-14 дней по несколько часов ежедневно.
- При прохождении курса и после него для сохранения полученного результата придется отказаться от кофе, черного чая и продуктов, которые способны окрасить зубы.
- Ношение капы в дневное время приводит к трудностям с речью, также у некоторых пациентов она вызывает дискомфорт и нарушает ночной сон.
- Негативным последствием длительного использования кап может стать дисфункция височно-нижнечелюстного сустава.
Использование кап для отбеливания позволяет добиться хороших результатов в домашних условиях при соблюдении всех рекомендаций стоматолога. Однако не стоит забывать о том, что для осветления используется активное вещество, которое при превышении концентрации и дозировки способно повредить эмаль.
Дополнительные рекомендации
Многие люди пользуются наборами для отбеливания зубов, в которые входят капы и гель, и оставляют положительные отзывы о них
Однако важно помнить, что отбеливающие препараты, предназначенные для домашнего применения, не дают быстрого результата, по сравнению с профессиональным отбеливанием
Внимание! Процедура отбеливания в стоматологическом кабинете занимает около получаса и требует несколько сеансов. Для того чтобы сделать зубы белее в домашних условиях, необходимо носить капы с гелем 2–3 недели по 2–8 часов в день
Удобно надевать капы на ночь.
Перед любыми домашними манипуляциями с зубами, стоит обратится к стоматологу. Только врачебный осмотр даст гарантию, что ваши зубы нуждаются или не нуждаются в дополнительном лечении перед отбеливанием.
Важно следить, чтобы отбеливающее вещество не попадало на десны. Активные компоненты геля могут вызвать раздражение слизистой, и даже химический ожог
После того как капы надеты, нужно удалить лишний гель с десен салфеткой или ватой. Чтобы препарат на вытекал из капы, нужно соблюдать дозировку и не наносить его слишком много.
Профессиональный подход

Отбеливание в кабинете стоматолога намного эффективнее домашних методик. Получить белоснежную улыбку можно уже через несколько сеансов, тогда как дома на это может уйти до нескольких месяцев.
Помимо этого, опытный стоматолог качественнее проведет обработку, что снижает риск развития неприятных осложнений.
Сегодня существует много методик химического отбеливания, рассмотри их подробнее.
Лазерное
Используется уже достаточно давно, считается одним из эффективных и безопасных способов осветления эмали.
Стоматологи рекомендуют проводить не более 1 процедуры в год, это позволит избежать негативного влияния лазерного излучения. Эффект сохраняется до 2 лет при правильном уходе.
Для отбеливания на эмаль наносят специальный гель с перекисью водорода, на десны наносится защитный препарат. Далее происходит воздействие лазерных лучей (мощность и длительность задает стоматолог зависимо от показаний пациента).
Лазер активизирует компоненты геля и ускоряет их действие. При этом не происходит травмирование эмали, в данном случае в геле содержится 16% перекись, это обеспечивает более мягкое действие. В среднем один сеанс занимает 45 минут, разделенный на 3 подхода.
Данная процедура не рекомендуется пациентам до 18 лет, беременным и кормящим женщинам. Также запрет распространяется на больных диабетом или нарушениями в работе щитовидной железы, а также при наличии аллергии на перекись.
Комплектация набора для отбеливания зубов Bleach n Smile и техника проведения процедуры.
Заходите сюда, если интересны отзывы о системе отбеливания зубов Beyond.
По этому адресу http://www.vash-dentist.ru/krasota-i-uxod/otbelivanie/zubov-holodnyim-svetom.html поговорим о преимуществах отбеливания зубов лампой холодного света.
Фотоотбеливание
В данном случае используется специальная нагревающая лампа, в остальном она ничем не отличается от лазерного отбеливания.
Освещение от лампы накаливания активизирует компоненты геля и выделяет из него активный кислород. Длительность процедуры не занимает более получаса. Для достижения видимого результата может потребоваться несколько сеансов.
Фотоотбеливание имеет ряд противопоказаний:
- возраст пациентов до 20 лет;
- беременность и период лактации;
- сильная чувствительность эмали;
- аллергия на компоненты препарата;
- кариес;
- патологическая стираемость.
Нередко после фотоотбеливания элементы челюстного ряда становятся очень чувствительными, поэтому пациентам назначают специальные реминерализирующие пасты.
Air Flow
Это разновидность ультразвукового осветления эмали. Основным показанием считается небольшой пигментный налет.
В основу процедуры положено воздействие на эмаль под высоким давлением смеси воды, воздуха и пищевой соды. Благодаря такому эффекту происходит мягкая очитка, эмаль не травмируется.
Преимуществом такой очистки является возможность обработать даже самые труднодоступные места (межзубные промежутки и т. д.). Противопоказаниями считаются заболевания полости рта или воспалительные процессы в организме.
Метод Air Flow не считается самым эффективным и долгосрочным. А вся процедура осветления занимает не более 30-45 минут.
Очистку ультразвуком часто назначают перед фторированием. В некоторых случаях приходится применять анестезирующие гели, так как процедура считается достаточно болезненной.
Осветление без активизации
В некоторых случаях врачи не применяют никаких методов активации химических элементов отбеливающего геля. Пациенту требуется нанесение специальных паст и закрепление их капами. Это длительный процесс отбеливания, который помогает осветлить эмаль всего на несколько оттенков.
Плюсы и минусы отбеливания
В условиях стоматологического кабинета возможно отбелить зубы на несколько тонов всего за полчаса. Но у этого метода есть множество недостатков. Основным из них является сильное воздействие средств, которые насыщены отбеливающими компонентами, оказывающими неблагоприятное воздействие на эмаль зубов, приводя к усилению её чувствительности.Капы для отбеливания являются более щадящей методикой, которая обладает рядом преимуществ:
- Если вы заметите негативные ощущения или неприятные последствия, то вы можете прекратить отбеливание. Это не будет отражаться на итогах применения.
- Капы отличаются небольшой ценой.
- Использование отбеливающей капы не доставляет дискомфорта.
- Возможность самостоятельно выбирать время использования.
- Зубы отбеливаются сразу с двух сторон.
Во время домашнего отбеливания многие замечают, что чувствительность эмали в разы возрастает. Если вы заметите подобные симптомы, то обратитесь к стоматологу, который подберет вам средство для минерализации зубов. Тогда вам придется чередовать процедуры. Один день наносить отбеливающий гель, во второй день наносить минерализующее средство.Однако подобная методика отбеливания имеет ряд недостатков. Первым из них считают долгое время достижения нужного эффекта. Зубы станут светлее не менее чем через неделю после того, как вы приступите к процедурам. Второй недостаток в том, что результат зависит от некоторых условий:
- Особенности зубов конкретного человека.
- Тщательность ухода за полостью рта.
- Рацион пациента.
Использование отбеливающей капы
Поэтому стоматологи настоятельно рекомендуют не только тщательно следить за зубной гигиеной, но и откорректировать рацион своего ежедневного питания: исключить морсы и соки, крепкий кофе и чай. Отказаться от продуктов, которые красят зубы. Все это обусловлено тем, что после процедуры отбеливания зубы наполняются минералами, которые активно впитывают пигменты красящих веществ. Также рекомендуется отказаться от курения, так как никотин неблагоприятно отражается на итогах отбеливания.
https://youtube.com/watch?v=nxmX8AJXlbc
Домашний набор для отбеливания зубов
Современные способы создания белоснежной улыбки многочисленны и многообразны. Популярностью в последнее время стали пользоваться процедуры, проводимые в домашних условиях из-за их простоты и удобства. Причем это не обычные домашние средства, а специальные комплексы, созданные профессионалами в области стоматологии. На самом деле, принципы отбеливания этим способом основываются на применении специальных кап – прогрессивных элементов стоматологии. Речь идет о капах для отбеливания зубов, продающихся в комплекте со специальным гелем. Это простейший домашний способ отбеливания зубов, позволяющий получить белоснежную улыбку за относительно короткое время.
Как используются капы
- Внутренняя поверхность кап подлежит нанесению геля.
- После этого пластины крепятся к зубам.
- Фиксирование кап осуществляется на челюстях нажатием.
- После распределения избыток геля удаляется пальцем.
- После использования капы ополаскиваются водой.
Достоинства применения кап
- Возможность остановки курса в случае возникновения неприятных болезненных ощущений;
- Приемлемый ценовой диапазон на проведение процедуры;
- Возможность проведения процедур отбеливания снаружи и внутри;
- Возможность проведения процедур в любой временной период.
Однако итоговая составляющая будет зависеть одновременно от нескольких факторов и особенностей – индивидуальные характеристики зубов, качество ухода за ротовой полостью и особенности питания.
Виды кап
Капы бывают разных видов. Все многообразие предлагаемой продукции можно разделить на два вида:
- Профессиональная продукция, купить которую можно в стоматологических клиниках;
- Средства, доступные к покупке в любых аптеках или магазинах красоты.
Первый вид доступен для лечения в домашних условиях, однако потребуется регулярное посещение стоматологического кабинета для контролирования хода отбеливания и составления плана процедур. Именно поэтому данную методику относят к подгруппе профессиональных. Такие наборы можно приобрести в интернете, но использовать их без общения со стоматологом может быть опасно.Если вы выбрали профессиональные средства, то вы получите:
Профессиональные материалы для отбеливания. Производители таких средств в большинстве своем сотрудничают только с клиниками. Поэтому средства предполагают профессиональное использование. Чем выше квалификация стоматолога, тем больше шансов на достижение отличного и безопасного результата.
Собственная капа. Врач предоставит вам возможность изготовления капы по слепку ваших зубов. Они будут более удобными, нежели универсальные. Однако на результате отбеливания это не отразится.
Профессиональная консультация
Это важно при использовании профессиональной продукции. Врач как никто другой сможет сделать все возможное, чтобы отбеливание дало наиболее удачный результат
Консультации профессионалов обезопасят вас от различных неприятностей.
Самостоятельное изготовления капы
Если вы сделали выбор в пользу отбеливающих наборов, которые можно приобрести в магазинах, то есть несколько нюансов. В первую очередь выбирайте наборы от известных производителей, которые заслужили множество положительных отзывов. Не стоит экономить в данной ситуации, такая экономия может влететь вам в копеечку, если что-то пойдет не так, и придется заниматься лечением зубов.У подобных средств есть ряд особенностей:
- Капа является универсальной. Такие капы подойдут абсолютно любому человеку, однако, могут вызывать дискомфорт.
- Концентрация отбеливающих веществ более щадящая, нежели у профессиональных средств. Это обусловлено тем, что производители стараются снизить вероятность вреда. Достижение положительного результата потребует более длительного времени.
Виды
Капы, применяемые для отбеливания зубов, бывают трех разновидностей.
Стандартные
Выпускаются фабричным путем и имеют форму, соответствующую усредненным показателям челюстей без учета индивидуальных особенностей. Такие капы имеют минимальную стоимость, однако их использование не всегда удобно. У каждого человека есть свои отличительные черты зубного ряда, а так как капы выпускаются в одном размере, то часто случается так, что гель может вытекать из-за неплотного прилегания к зубам и приводить к ожогам слизистых оболочек.
Индивидуальные
Индивидуальные капы для отбеливания зубов являются наиболее анатомически правильными, так как их изготовление происходит в зуботехнической лаборатории, где техник работает с индивидуальными моделями челюстей. Для этого предварительно стоматолог снимает оттиски альгинатной или силиконовой массой, что позволяет отпечатать все особенности расположения и формы зубов.
Так как капы делаются индивидуально, то и стоимость их будет высока, да и посетить дантиста придется несколько раз. Однако при использовании индивидуальных кап практически отсутствует дискомфорт от наличия инородного предмета во рту, а также исключается вероятность попадания активного вещества на мягкие ткани и получения химического ожога.
Термопластические
Термопластические капы производятся заводским путем, но, в отличие от стандартных, они обладают способностью подстраиваться под некоторые особенности прикуса, что обеспечивает комфортное и безопасное использование.
Конструкции изготавливаются из особого материала, обладающего способностью при воздействии определенной температуры изменять форму. Перед первым применением необходимо поместить капу в емкость с горячей водой, после чего зафиксировать на зубах.





























