Подробнее об алгоритме процедуры
Чистку с применением Air Flow специалисты обычно проводят в несколько этапов и сочетают 2 метода: воздействия ультразвуком и абразивной смесью. Важный нюанс: до ее начала и осмотра у врача пациент должен самостоятельно почистить зубы щеткой и не принимать слишком холодную или горячую пищу.
Стандартный алгоритм комплексной процедуры:
Применение ультразвукового скейлера. Врач удаляет зубные камни и другие виды твердых налетов. Ликвидацию поддесневых отложений он осуществляет на этом этапе. Использование системы Air Flow. Специалист удаляет пигментированный налет на зубных единицах, образовавшийся из-за употребления пациентом продуктов, содержащих красящие вещества. Указанная технология позволяет справляться и со следами табакокурения. Чистка межзубных промежутков. Ее длительность напрямую зависит от степени загрязненности данных участков рта. Для процедуры стоматолог применяет ленты с абразивом либо зубные нити. Полирование поверхности зубов с помощью специальных щеток
На завершающем этапе врач уделяет особое внимание мерам по укреплению зубной эмали, для чего он использует и фторсодержащие составы. Такое сочетание методов в рамках одной процедуры приносит максимально стойкий эффект
Оно способствует снижению чувствительности зубов, с жалобами на которую, как показывает практика, обращается каждый второй клиент стоматологической клиники
Такое сочетание методов в рамках одной процедуры приносит максимально стойкий эффект. Оно способствует снижению чувствительности зубов, с жалобами на которую, как показывает практика, обращается каждый второй клиент стоматологической клиники.
Процесс чистки
Струя мягко и бережно воздействует на поверхность зубной эмали, практически не травмируя ее. Что дает отбеливание зубов методом Air Flow? Такая чистка зубной эмали делает поверхность зуба более ровной и гладкой, а значит вредные микробы не будут прилипать. Далее, после чистки у пациентов пропадает неприятный запах из ротовой полости и кровоточивость. Отбеливание производится на профессиональном уровне с использованием передового оборудования и современных материалов.
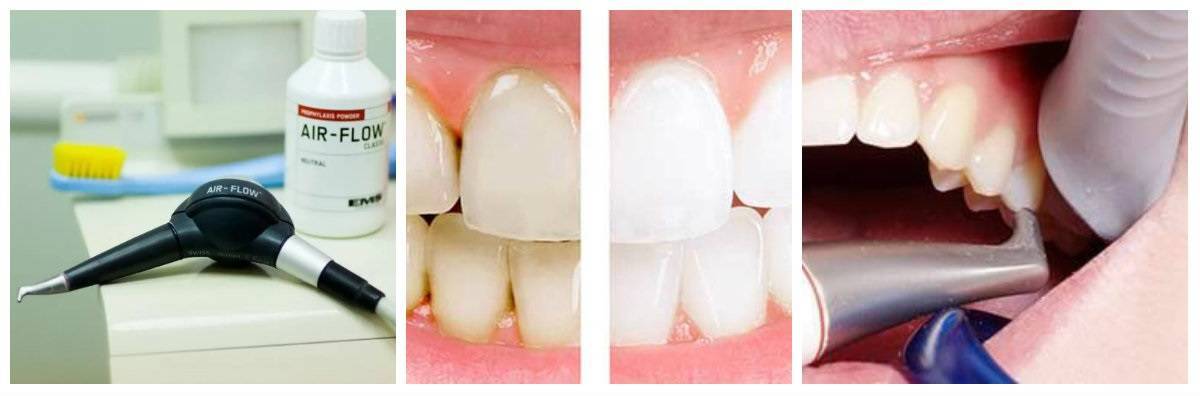
Порошок под сильным напором ударяется о поверхность зуба и таким образом снимает налет. Ассистент стоматолога подносит специальный пылесос с другой стороны обрабатываемого зуба. Отработанный порошок, вода, частички налета собираются этим пылесосом во рту, не разлетаясь по кабинету.
В платной клинике пациентам обычно предлагают профессиональную комплексную чистку зубов методом Air Flow:
- Удаление налета (в т.ч. от пищевых красителей и курения).
- Промывание пародонтальных десенных карманов.
- Эффективное удаление поддесневого зубного камня.
- Полировка поверхности зубов.
Порошки для чистки зубов Air Flow могут иметь различные приятные вкусы.
Преимущества метода чистки зубов Air Flow
- С помощью метода Airflow можно также осветлить зубы, не подвергая эмаль опасному воздействию. Чистка зубов обеспечит и отличный полирующий эффект.
- Профессиональная чистка AirFlow – является наименее травматичным методом профилактики полости рта и пародонтита.
- Поскольку главным очищающим материалом в методе Айр Флоу является простая сода, процедура чистки таким методом никогда не спровоцирует развитие аллергической реакции.
Хотя процедура безопасна для здоровья, перед посещением гигиениста нужно проконсультироваться со стоматологом.
Профессиональную чистку необходимо делать не реже раза в год, т.к под влиянием среды, через год лак потеряет свои качества, что приведет к появлению кариеса и зубного налета. Для поддержания результата рекомендуем использовать полоски crest 3d white.

Prophy-Mate — аппарат для Air Flow
Prophy-Mate гарантирует непревзойдённый результат чистки и полирования полости рта. Мировые специалисты «настоятельно рекомендуют иметь оборудование Prophy-Mate в каждом стоматологическом кабинете», так говорят специалисты по производству стоматологической медицинской техники предприятия NSK.
Привлекательная с внешней точки зрения округлая форма — результат углубленного изучения компанией NSK вопросов комфортного пользования и упрощения работы. Бороздки на верхней части наконечника обеспечивают надежный захват для руки стоматолога и упрощённый контроль за наконечником. Удобный дизайн и приятная на ощупь округлая форма, это все позволяет специалистам более аккуратно выполнять важную процедуру связанную с гигиеной полости рта Airflow – очистку зубной поверхности от налета.
Специальные сдвоенные сопла направляют воздух в контейнер с порошком, таким образом обеспечивая стабильную подачу порошка в расположенное в контейнере сопло. Благодаря мощности и нпрерывности струи достигается исключительная по качеству степень полирования и чистки.
Прибор для профессиональной чистки Prophy-Mate имеет 2 соединения на шарнирах, дающих возможность поворачивать головку механизма на 360°, для его подвижности. Свободный поворот головки сохраняется даже при максимальном давлении воздуха, а легкий корпус снижает усталость рук.
Фронтальное сопло можно легко снять. Это также, дополнительно упрощает стерилизацию и гигиенический уход за полостью рта.
Помните, что грамотная гигиена — это залог вашей природной красоты и здоровья!
- Ibsen OAC; Phelan JA (14 April 2014). Oral Pathology for the Dental Hygienist. Elsevier Health Sciences.
- Watts, A; Addy, M (2001-03-24). «Tooth discolouration and staining: Tooth discolouration and staining: a review of the literature». British Dental Journal.
- Новейшие технологии в эстетической стоматологии / В.Н. Чиликин. — М.: МЕДпресс-информ
Стоимость услуг
| Код | Наименование | Стоимость (руб.) |
|---|---|---|
| B01.065.005 | Программа Check-Up стоматологический ( Включает: визуальный и инструментальный осмотр полости рта, диагностика заболеваний десен, скрытых кариозных полостей, раннее выявление предопухолевых образований полости рта ) | 1500 900 |
| A16.07.051 | Профессиональная гигиена полости рта/первичная/плановая 4 этапа, включая фторирование ( Включает: фотопротокол, определение гигиенического статуса, ультразвуковой чистка, медикаментозная обработка, Air-Flow, полировка эмали, укрепление эмали, урок гигиены ) | 3900 |
| A16.07.051 | Профессиональная гигиена полости рта детская/до 10 лет, включая фторирование ( Включает: индикация зубного налета, Air-Flow, полировка эмали, укрепление эмали, урок гигиены ) | 2 500 |
| A16.07.051 | Профессиональная гигиена при ортодонтическом лечении/ежемесячно, включая фторирование ( Включает: механическая очистка, ультразвуковой скейлинг (по показаниям), фторирование (1 раз в 3 месяца) ) | 2900 |
| A16.07.051 | Пародонтологическая гигиена с применением Vector Paro Pro ( Включает: 2 приема зубного врача-гигиениста, определение гигиенического статуса, ультразвуковой скейлинг (снятие над и поддесневых твердых зубных отложений), медикаментозная обработка, механическая очистка аппаратом Air-Flow, сегментарная обработка карманов аппаратом Vector Paro Pro, полировка эмали, минерализующая терапия (укрепление эмали), урок гигиены ) | 7 500 |
| A16.07.051 | Профессиональная гигиена GBT для пациентов с гиперчувствительной эмалью на аппарате AIRFLOW Prophylaxis Master (Подробнее) ( Guided Biofilm Therapy-передовая швейцарская методика профессиональной чистки зубов. Преимущества метода: ✓Безболезненный ✓Безопасный ✓Эффективный и щадящий ✓Высокий уровень комфорта для пациента. Кому подходит? ✓Высокоэффективная методика профилактики кариеса и заболеваний пародонта для пациентов с гиперчувствительной эмалью, для детей и подростков. ) | 9500 7500 |
| A16.07.051 | Профессиональная гигиена с микроскопом ( Включает: 2 и более приемов врача, определение гигиенического статуса, ультразвуковой скейлинг, медикаментозная обработка, механическая очистка аппаратом Air-Flow, сегментарная обработка карманов, полировка эмали, минерализующая терапия (укрепление эмали), урок гигиены ) | 8500 |
| A22.07.002 | Ультразвуковой скейлинг 1 зуб | 320 |
| A11.07.024 | Каппа мягкая с изготовлением (1 челюсть) | 3500 |
| A16.07.047 | Каппа ретенционная (1 челюсть) | 4200 |
| A16.07.047 | Каппа корректирующая (1 челюсть) | 4800 |
| A16.07.047 | Каппа от бруксизма (1 челюсть) | 4200 |
| A11.07.012 | Фторирование/реминерализация зубов 1 челюсть | 1500 |
| A16.07.028 | Снятие материала после ортодонтических аппаратов (1 челюсть) | 1000 |
| A 16.07.051 | Механическая очистка аппаратом Air – flow (1 челюсть) | 1500 |
| A16.07.025.001 | Ультразвуковой скейлинг (1 зуб) | 350 |
| A16.07.025.001 | Полировка эмали пастами, полирами различной абразивности (1 челюсть) | 1000 |
| A11.07.024 | Местное применение реминерализующих препаратов в области одного зуба | 500 |
| A 16.07.002 | Лечение гиперэстезии (1 зуб) | 500 |
| A13.30.007 | Обучение гигиене полости рта (урок гигиены) | 600 |
| A16.07.082 | Установка Скайза (при наличии скайза у пациента) | 2900 |
Что лучше – ультразвуковая чистка или Air Flow?

Какая методика лучше: ультразвуком или аэрфлоу (рекомендуем прочитать: как делается отбеливание зубов ультразвуком?)? Все зависит от поставленных целей и задач. Для людей, страдающих гингивитом, эффективнее будет применение ультразвуковой чистки. Однако ее не рекомендуется применять у пациентов, имеющих проблемы с сердечно-сосудистой системой, обладателей кардиостимуляторов. При наличии у человека имплантов применять можно только Аir Flow.
Второй способ абсолютно безболезненный, тогда как УЗ-способ доставляет ощутимый дискомфорт. Ценовой уровень у обоих методов примерно один. Довольно часто стоматологи прибегают к совместному применению ультразвукового очищения и Air Flow. Последний служит подготовительным этапом перед основной чисткой зубов.
Преимущества и недостатки УЗ-метода
Любой способ очистки зубов имеет свои преимущества и недостатки. Ультразвуковой метод не является исключением. Перед тем, как выбрать очищение ультразвуком, изучите его положительные и отрицательные стороны. К плюсам можно отнести то, что этот способ:
- не приводит к стиранию и повреждению эмали;
- позволяет производить удаление твердых отложений из труднодоступных мест;
- обладает антимикробным эффектом;
- придает зубам оттенок на один-два тона светлее.
Недостатков у этого метода не так много. К основным относят появление кровоточивости десен, повышенную чувствительность зубов после процедуры, болезненность.
Плюсы и минусы Air Flow

Процедура Air Flow имеет свои плюсы и минусы. К положительным моментам относятся: безопасность и отсутствие боли во время и после отбеливания, устранение налета от кофе и чая. Одним из главных плюсов является возможность применения при наличии имплантов, коронок и ортопедических устройств. Кроме того, он замедляет появление налета и формирование зубного камня. Не требует дополнительного обезболивания.
К минусам данного способа отбеливания зубов относится невозможность использовать его для снятия зубного камня. Им невозможно удалить поддесневые отложения. Он не обладает бактерицидным свойством.
Что выбрать?
Что же выбрать для отбеливания зубов? На этот вопрос поможет ответить сравнение методов. Необходимо установить, какие противопоказания имеются у конкретного пациента. Что необходимо – простая чистка налета или более глубокое воздействие? При условии повышенной чувствительности и кровоточивости десен, наличии имплантов или коронок больше подходит Air Flow. Обладателям брекетов показан только этот способ борьбы с нежелательными отложениями на зубах.
Особенности очищения зубов аппаратом Air Flow Prophylaxis Master
Из описания выполнения процедуры Air Flow видно, что, прежде чем приступать к снятию мягкого налета, необходимо удалить твердые отложения. Стандартный аппарат Аир Флоу сделать этого не в состоянии, так как допустимой для человека мощности направленной струи раствора недостаточно, чтобы раздробить камень. В связи с этим, если на зубах есть минерализованный налет, его нужно предварительно удалить. Как правило, это выполняют ультразвуковым скалером.
Чтобы сделать аппаратное очищение максимально комфортным для пациента, был разработан инновационный аппарат Air Flow Prophylaxis Master. Это усовершенствованная модель базового Air Flow, система профессиональной чистки зубов. Ее разработали в научном центре компании EMS. От базовой версии отличается набором дополнительных опций, реализуемых посредством специальных насадок-наконечников. При их применении время процедуры сокращается в два раза в сравнении с ее стандартной версией.
Выбор насадки осуществляется в зависимости от особенностей конкретного клинического случая. Функции, выполняемые наконечниками аппарата:
- AIRFLOW MAX – удаляет биопленку на коронковой части зуба и до 4 мм в поддесневой зоне, пигментацию и незначительный минерализованный налет;
- PERIOFLOW – удаляет биопленку из пародональных и периимплантных полостей глубиной до 9 мм, чистит имплантаты и межзубные промежутки;
- PIEZON NO PAIN PS – ультразвуковой наконечник, убирающий зубной камень на коронковой части и под десной. Инновация: подходит для людей с повышенностью чувствительностью эмали и для детей с молочным прикусом.
Преимущество функционала системы Air Flow Master – в удалении налета, пигментации, мягких и минерализованный отложений в самых труднодоступных для обычной щетки зонах:
- на участке рецессии (опущении) десны;
- в пародонтальных карманах (не нужно выполнять механический закрытый кюретаж при наличии камня);
- на брекетах, зубопротезных конструкциях.
Благодаря применению усовершенствованного чистящего раствора PLUS очищаются не только твердые ткани зубов, но и мягкие ткани нёба, десен и языка.
Метод отбеливания зубов Air Flow (Эйр Флоу)
Давно используемая в стоматологических кабинетах механическая чистка зубов уже достаточно устарела, к тому же она имеет свои недостатки. На смену ей пришла новая, более совершенная методика Air Flow, при которой не травмируются десна и не повреждается зубная эмаль. Для процедуры используется пескоструйный аппарат Air Flow, но в качестве действующего вещества, конечно же, применяется не песок, а специальная лечебная смесь из воды и абразивного средства.Основой абразива выступает питьевая сода (бикарбонат натрия), поэтому процедура чистки зубов этим средством никакого вреда для здоровья не приносит. Размеры кристаллов питьевой соды слишком малы, чтобы повредить эмаль зуба, зато зубной налет они удаляют великолепно. {xtypo_quote_right}Для комплексного лечения зубов от пародонтоза рекомендуем революционное средство “Аппарат Вектор”.{/xtypo_quote_right} Процедура Air Flow чистки зубов совершенно безболезненна, и после нее у пациента не возникает никакого физического дискомфорта. Во время чистки при помощи аппарата Air Flow удаляются и мягкий поддесневый, и плотный зубной налет, и биопленки с бактериями на глубине, доступной для процедуры.
Длится процедура чистки примерно полчаса, а по ее завершении на зубы наносится специальный защитный лак, продлевающий эффект от Air Flow чистки.
После этой процедуры следует 2-3 часа воздерживаться от употребления кофе, чая и других продуктов, способных окрасить зубы, а также от курения. Это время необходимо для восстановления органической пленки, покрывающей зубы, которая была разрушена при чистке. Метод Air Flow и для отбеливания зубов. Однако Air Flow отбеливание зубов обеспечивает натуральный, природный цвет зубов – слегка желтоватый или сероватый. По своей сути процедура Air Flow – не отбеливание, меняющее цвет зубов, а их очистка до натурального цвета. Многим пациентам большего отбеливания и не требуется. Но если есть желание сделать зубы по-настоящему белыми, то есть осветлить их на 5-7 оттенков, в этом случае не обойтись без химического отбеливания, которое, кстати, не обходится без предварительного очищения зубов.
Панкратова Виктория Валерьевна – врач стоматолог-терапевтРолик повествует о значимости «ирригатора полости рта» для ухода за: брекет- системами, имплантантами, съемными протезами, несъемными протезами, даже за здоровым ртом, лишенным каких-либо протезов и проблем. Можно использовать прибор с 6 лет, после чистки зубной пастой и щеткой. Наиболее популярная модель под названием – aquajet. Берегите себя.
В настоящее время система AirFlow отбеливания является самой популярной и прогрессивной в косметической стоматологии системой отбеливания. Стоимость отбеливания зубов на странице “стоимость услуг”
Перед проведением процедуры AirFlow чистки необходимо проконсультироваться с врачом. Среди противопоказаний – хронический бронхит и астма. У людей, страдающих каким-либо из названных заболеваний, существует угроза затруднения дыхания во время процедуры. Противопоказана AirFlow чистка и людям, придерживающимся бессолевой диеты, так как абразивное вещество, входящее в чистящий раствор, содержит соль. Некоторые заболевания пародонта тоже являются препятствием для применения такого метода. В этом случае следует использовать альтернативные способы чистки зубов. Не рекомендуется использовать AirFlow чистку зубов детям, беременным и кормящим женщинам, а также тем, кто не переносит запах и вкус цитрусовых (используемый порошок имеет лимонный вкус).
Нельзя не отметить, что по сравнению с другими методами очистки зубов, на процедуру Airflow цены сравнительно невысокие. Например, в столичных стоматологических клиниках такая процедура отбеливания стоит от 1,5 до 3 тыс. рублей.
Уход после процедуры
Эффект заметен сразу после проведения отбеливания, но как долго он сохранится, зависит от пациента. Стоматолог должен рассказать правила ухода за зубами после гигиенической чистки:
- В первые дни вероятность окрашивания пищевыми пигментами повышена, поэтому чистить зубы следует после каждого приёма пищи. Давить на щётку с силой при этом не нужно.
- Первое время не следует есть горячую или холодную пищу.
- Желательно не курить хотя бы первую неделю.
- Продукты с пигментами следует исключить из меню. Несколько дней не стоит есть свеклу, красные ягоды, употреблять шоколад, соевый соус, кетчуп, помидоры, карамельки, пить чай, кофе, какао, окрашенные газированные и спиртные напитки. Также под запрет в первые дни попадает кислое, солёное, острое и слишком сладкое.
- Нужно использовать зубную пасту и ополаскиватель, которые посоветовал врач.

Технология «Аир флоу» – описание процедуры
Сеанс очищения эмали обычно занимает не больше получаса. Удаляется верхний налет, сформированный под воздействием продуктов питания и напитков, особенно имеющих в своем составе красящие пигменты. Сразу следует оговориться, что методика не относится к способом искусственного осветления эмали, а это значит, что процедура позволяет добиться именно естественной белизны зубов. Если у вас от природы оттенок эмали слегка желтоватый или сероватый, не стоит рассчитывать на белоснежную голливудскую улыбку. Чтобы сделать естественный цвет безукоризненно белым, придется проходить процедуру профессионального осветления или прибегнуть к помощи виниров.
1. Подготовительные мероприятия
Для начала придется пройти стандартный осмотр полости рта у врача-стоматолога. Специалист оценит степень запущенности проблемы и предложит оптимальный вариант удаления над- и поддесневых отложений. Если вы склонны к проявлениям аллергических реакций или страдаете от непереносимости компонентов используемых средств, обязательно сообщите об этом врачу. Женщинам перед сеансом лучше не использовать косметику, поскольку после процедуры может потребоваться умывание.
Перед процедурой нужно пройти осмотр у стоматолога
2. Описание сеанса очищения эмали
Процесс очистки эмали с использованием аппарата Air Flow предполагает несколько этапов. Ниже приведено краткое пошаговое описание процедуры:
- для начала врач покрывает губы пациента вазелиновым составом, чтобы те не пересыхали,
- после этого во рту размещается слюноотсос, который помогает избежать чрезмерного слюноотделения во время процедуры,
- далее надеваются специальная шапка и очки с целью защиты лица и волос от мелких частиц абразивного порошка для чистки зубов,
- врач бережно обрабатывает каждый зуб, следит за тем, чтобы струя не попадала на мягкие ткани и дентин при наличии кариеса и эрозий,
- обработанная эмаль покрывается особым фторосодержащим составом, который обеспечивает закрепление достигнутого эффекта.
На фото показана процедура чистки зубов системой Air Flow
Стоматолог самостоятельно контролирует силу напора струи, оптимизируя таким образом интенсивность ее воздействия на мягкие и твердые отложения. В итоге происходит эффективное, но при этом бережное удаление налета и остатков пищи, что служит лучшей профилактикой кариеса.
3. Восстановительный этап
Непосредственно после сеанса зубы утрачивают тонкую поверхностную пленку, поэтому еще некоторое время эмаль может остро реагировать на механические воздействия и резкие перепады температуры – вполне естественное явление, которого не нужно пугаться. Для сохранности достигнутого эффекта специалисты рекомендуют в течение 2-3 часов не курить, не употреблять кофеиносодержащие напитки, черный чай и цветную газировку. Также стоит хотя бы на время ограничить потребление фруктов и ягод, имеющих в своем составе интенсивные красящие пигменты.
«Аir Flow» очищение зубного налета и отбеливание
–процедура удаления зубного налета (мягкого) с помощью мощного точно направленного воздушного потока, в котором находится специальная чистящая смесь, в виде порошка ультратонкого помола.
Подобная методика позволяет полностью очистить эмаль не только от налета, но и от темных пятен, возникших в результате употребления кофе, курения или под влиянием другим факторов. Из-за того, что в результате проведения процедуры Air Flow зубы становятся на 1-3 тона светлее, её можно легко принять за процедуру отбеливания.
Очистка происходит даже в самых труднодоступных местах, например, в придесневых пазухах и между резцами. При этом дентин остается в безопасности, так как мощность потока подбирается индивидуально каждому пациенту. Впервые метод применила швейцарская компания EMS, и с тех пор он завоевывает все больше поклонников.
Преимущества процедуры
- Очень качественная очистка поверхности зубов от пищевого налета, окрашенных пятен и биопленки бактерий
- Чистка происходит по всей поверхности эмали, в том числе и в самых труднодоступных местах.
- Совместно с чисткой аппарат осуществляет полировку эмали.
- Благодаря тщательной очистке эмали происходит её заметное осветление, а точнее возращение естественного цвета эмали зубов, эмаль зубов становится на 1-3 тона светлее, чем до проведения процедуры.
- Способствует более качественному и эффективному проведению лечения и протезирования зубов.
- Является реальным профилактическим мероприятием при кариесе, так как налет – отличная среда для кариесообразующих бактерий.
- После чистки заметно освежается дыхание.
Принцип работы аппарата Air Flow
Говоря кратко, оборудование, с помощью которого проводится Air Flow – специальный пескоструйный механизм, который позволяет подавать мельчайший стоматологический чистящий порошок в нужном направлении и под необходимым давлением.
Аналогом из обычной жизни может послужить чистка полости рта содой. Большая разница состоит в том, что порошок, используемый при проведении процедуры Air Flow – это смесь безопасных и эффективных чистящих веществ с приятным цитрусовым ароматом, а сила, глубина и направленность аппаратной чистки не сравниться с ручной.
Как происходит процедура отбеливания и очистки?
Пациент находится в кресле стоматолога не более получаса. Перед тем, как начать процедуру, доктор в обязательном порядке выясняет, есть ли у пациента склонность к кровоточивости десен, какова его индивидуальная степень чувствительности эмали, есть ли у пациента противопоказания к процедуре и т.д. Затем осуществляется индивидуальный подбор мощности и направленности воздушной струи.
Так как методика не позволяет произвести удаление зубного камня, может понадобиться предварительная чистка зубов ультразвуком, и лишь потом порошково-воздушная. Иногда после может понадобиться покрытие специальным фторсодержащим лаком – для фиксации эффекта и укрепления эмали.
После чистки Air Flow категорически запрещено принимать в течение некоторого времени пищу или напитки. Также настоятельно не рекомендуется подвергать полость рта воздействию окрашивающих компонентов в течение следующих нескольких часов.
Что собой представляет методика?
По сути, эту процедуру нельзя назвать отбеливающей, в том смысле, что придать вашим зубам белизну, о которой вы прежде и мечтать не могли, она не сможет. Это всего лишь очень качественная чистка, в процессе которой удаляется налет, потемнения и камень.
В результате зубы все-таки побелеют, но только до вашего собственного природного оттенка. Очень хороший эффект будет заметен у человека, имеющего некоторые вредные привычки (например, постоянно употребляющий в пищу кофе).
Главная особенность услуги состоит в том, что эмаль в результате остается неповрежденной. Для этой работы используется специальный прибор, который «умеет» одновременно распылять воду, воздух и абразивный порошок.
В качестве последнего выступает бикарбонат натрия, или проще говоря, обычная сода. При ее использовании в чистом виде поверхность эмали неминуемо будет повреждена, а в таком тесном сосуществовании она становится совершенно безопасной и прекрасно справляется с любыми потемнениями на зубах.
Чистящий состав проникает во все дальние уголки ротовой полости, и отлично справляется с удалением загрязнений в межзубном пространстве.
Процедура очистки зубов
Очистка зубов при помощи пескоструйного аппарата проводится следующим образом:

- Губы больного смазываются вазелином, чтобы избежать их возможного пересыхания.
- Под язык размещается слюноотсос, позволяющий сохранить ротовую полость сухой и избежать сильного слюнотечения в процессе.
- Для того чтобы защитить глаза пациента и не испачкать оседающей взвесью абразивного порошка волосы, на пациента надевают специальные очки и шапочку.
- Ассистент стоматолога включает стоматологический пылесос, всасывающий образующуюся в процессе взвесь.
- Наводя на каждый зуб наконечник аппарата, стоматолог круговыми движениями очищает его поверхность. При этом струйка раствора не должна попадать на слизистые оболочки и открытые участки дентина при наличии эрозий и кариозных полостей.
Аппарат имеет два сопла: через одно подается струя воздуха, через другое — раствор абразивного порошка в воде. Стоматолог может регулировать напор струи, чтобы с разной силой воздействовать на твердые и мягкие отложения.
Как проводится чистка зубов методом air flow
Используя специальный air flow аппарат, стоматолог бережно поэтапно удалит с ваших зубов мягкий налет, загрязнения, налет под десной и зубной камень, благодаря чему и происходит отбеливание эмали. Не стоит ожидать, что отбеливание зубов air flow подарит вам светящуюся улыбку с эффектом фарфора, но вернуть себе естественную белизну вы точно сможете.
Этот метод несравним с механической чисткой зубов, которая использовалась ранее в клиниках. Чистка air flow мягко осветляет эмаль, не травмируя ее. С насадки аппарата мощным потоком подается раствор, в который входит порошок air flow и вода. Этот порошок ничто иное, как обыкновенная пищевая сода. Сода имеет антибактериальное действие, а ее кристаллы прекрасно справляются с налетом.

Что дает этот метод
Достоинства этого метода делают air flow незаменимой процедурой для здоровья ротовой полости:
- удаление мягкого налета с эмали и под десной;
- профилактика заболеваний десен;
- эффективная борьба с кровоточивостью десен;
- безболезненность процедуры;
- безопасность метода для эмали;
- профилактика кариеса;
- осветление эмали;
- уничтожение бактерий ротовой полости.
Ощущения при чистке эйр флоу

Стоматологические манипуляции пугают, пожалуй, каждого человека. Но этот метод является абсолютно безболезненным. Ощущения во время чистки примерно такие: вы почувствуете легкий холодок на деснах, небольшое давление, оказанное струей жидкости. Вся чистка проходит в течение получаса, при этом вы будете находиться в стоматологическом кресле и сможете ждать результат без дискомфорта или напряжения, зная, что больно не будет. После процедуры вы будете ощущать невероятную чистоту ваших зубов, такого результата невозможно добиться обычной щеткой и пастой. Приятный бонус– свежее дыхание.
Стоимость чистки эйр флоу
Цена этого стоматологического метода чистки зубов может отличаться в зависимости от уровня клиники и качества оборудования. Но эта услуга является доступной. Средняя стоимость за один зуб– 25 рублей. Цена процедуры в целом будет составлять около 800 рублей. Вы можете очистить всю челюсть или только передние зубки. Но, конечно же, лучше проводить чистку для всех зубов, чтобы не только подарить им белизну, но и оздоровить.
Уход за зубами после процедуры эйр флоу

Чистка зубов air flow поразит вас результатом, эффективность подтверждают многочисленные отзывы. Конечно же, вам захочется этот результат сохранить как можно дольше. Стоматологи рекомендуют не употреблять пищу первые 2-3 часа после процедуры, чтобы на эмали образовалась естественная защитная пленка, которая во время процедуры снимается потоком раствора. Не употребляйте в первые часы красящиеся напитки, такие как кофе и чай, а также воздержитесь от курения. Проводить процедуру рекомендуется раз в год, чтобы поддерживать не только сияние улыбки, но и здоровье ротовой полости в целом.
Проведение процедуры в домашних условиях
Эйр флоу– это стоматологическая процедура, поэтому самостоятельно дома ее не проведешь. Но для поддержания чистоты эмали вы можете воспользоваться домашней альтернативой эйр флоу– протирание эмали содовым раствором. Пошаговая схема поможет вам:
- Возьмите 2 чайных ложки пищевой соды, купить которую можно в любом продуктовом магазине.
- Смешайте соду с 100 мл теплой воды и тщательно перемешайте.
- Смочите кусок марли в растворе и протрите зубки.
- Не стоит сильно нажимать на эмаль или втирать раствор.

Эффект стоматологической процедуры не сравним с таким домашним применением соды, но с помощью этой инструкции вы сможете немного осветлить вашу улыбку, немаловажным является и антибактериальное действие соды.
Особенности двух методик профессиональной гигиены: преимущества и недостатки
Главная задача УЗ-воздействия заключается в удалении мягкого и твердого налета посредством специального инструмента, скалера. Он создает УЗ-вибрирующие волны, которые точечно обрабатывают пространство, отделяя зубной камень от эмали. В финале процедуры ротовая полость промывается водой, и раскрошенные частицы удаляются вместе с жидкостью. Такая методика позволяет справиться с бактериями, скапливающимися в пространстве между зубами. В общей сложности процедура занимает не более 40 минут, проводится без применения анестезии и дает эффективный результат сразу после завершения манипуляций со стороны стоматолога.
Сравнивая ультразвуковую чистку и Air Flow, стоит акцентировать внимание на преимуществах первой:
- Технология безопасна, так как реализуется без токсичных средств, способных негативно повлиять на зубы и слизистую. Методика не предполагает прямого контакта.
- УЗ-методика гарантированно устраняет зубной камень, что невозможно сделать, проводя регулярные гигиенические процедуры в домашних условиях.
- Скалер удаляет не только очевидный зубной камень, но и тот, что образуется в поддесневой области и в карманах, что позволяет избежать воспаления слизистой.
- После процедуры зубы обретают свой естественный цвет, ведь эмаль становится на пару тонов светлее благодаря устранению налета и загрязнений.
Стоит иметь ввиду, что такая технология противопоказана при наличии установленных ортопедических систем, имплантов и протезов. Противопоказанием к осуществлению процедуры является первый триместр беременности.

Разбираясь, в чем разница между Air Flow и ультразвуковой чисткой, следует выявить и преимущества второй методики. Air Flow предназначена для удаления пигментации и мягкого налета. В ходе работы врач использует пескоструйный аппарат, который устраняет отложения, не успевшие затвердеть и стать зубным камнем. Процедура проводится с применением раствора из воды и соды. Направленной струей жидкость подается на зубы, сметая загрязнения и шлифуя зубную поверхность, за счет чего и достигается желаемый эффект.
Методика имеет следующие преимущества в сравнении с альтернативными техниками:
- Не требует обезболивания, так как пациент не испытывает неприятных ощущений и дискомфорта.
- Кристаллы соды не царапают эмаль и не повреждают зубы и слизистую.
- Мягкий налет устраняется с зубов и пространства между ними, а также с десен.
- Методику можно применять при наличии протезов, имплантов и коронок.
В отличие от ультразвуковой чистки зубов, Air Flow не снимает твердый налет и не удаляет зубной камень, что является весомым недостатком процедуры. Технология не позволяет устранить вредоносные микроорганизмы, провоцирующие воспаление слизистой и не помогает бороться с поддесневыми отложениями.

Механизм работы Air flow
Аппарат Air flow имеет камеру, в которой находятся частицы порошка одинакового размера. Они создают в камере высокое давление. В итоге образуется кашица из воздуха, воды и порошка, которая вылетает из сопла во время работы аппарата. Такая воздушно-водная порошковая смесь воздействует на поверхность зуба и очищает ее, удаляет даже темный и въедливый налет курильщика. При работе в четыре руки ассистент стоматолога с помощью пылесоса убирает частицы порошка вместе с зубным налетом.
Услуга Air flow — высокоэффективная, потому она справляется не только с видимым наддесневым налетом, но и невидимым поддесневым, снимает вместе с биологической пленкой бактерий с эмали зубов уже после первого посещения. Еще одним несомненным преимуществом чистки Air flow является абсолютная безболезненность данной процедуры, применение местной анестезии совершенно необязательно. После Air flow зубы не только приобретают блеск и белоснежность от природы, но и изо рта пропадает неприятный запах.
Полученная смесь никак не травмирует десна и мягкие ткани полости рта, поэтому процедура безопасна. Кроме того, она имеет приятный вкус и запах, в составе отсутствуют вредные компоненты.
Процедура Air flow на 99 % помогает предотвратить развитие воспалительных и кариозных заболеваний полости рта, повышает уровень общего иммунитета, потому что, чаще всего, входными воротами для инфекции является именно полость рта.





























