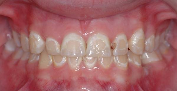
Возможные осложнения и недостатки
Перекись дает неплохой результат отбеливания. Но частое или неправильное ее применение приводят к проявлению негативных последствий. Самыми тяжелыми и нежелательными из них являются:
- Гиперчувствительность зубов – появление дискомфорта, резкой боли при питье холодных (горячих) напитков и употреблении еды. Причина развития этого состояния кроется в утончении эмали. Но данный процесс является обратимым.
При появлении подобного симптома, необходимо начать пользоваться специальными гелями или пастами, насыщающими ее необходимыми минералами и блокирующими чувствительность нервных окончаний.
- Мелованные зубы (переотбеленные) – это осложнение диагностируется в редких случаях и только у пациентов, которые длительное время в качестве зубного отбеливателя пользовались пероксидом в комбинации с пищевой содой.
Поверхностный слой постепенно стирается и открывает последующие (внутренние) слои. Блеск постепенно теряется, а зуб напоминает покрытую мелом поверхность. Вернуть самостоятельно зубам их первоначальный здоровый вид не получится.
- Деминерализация – образование на эмали мелких белесых пятен, которые становятся со временем более выраженными. Их появление говорит об утрате важных для зубов веществ и минералов.
Если не будут своевременно приняты меры по устранению этого признака, деминерализация со временем приведет к хрупкости зуба и последующему его разрушению.

Могут также появиться осложнения, имеющие кратковременное проявление: раздражение слизистой, изменение восприятия вкуса, жжение. Эти признаки обычно исчезают после прекращения отбеливания пероксидом и многократного полоскания рта.
Важно: учитывая осложнения, которые могут проявиться после подобной процедуры, применять перекись следует с большой осторожностью и под контролем стоматолога
Проверенные рецепты для отбеливания зубов
Вас не пугают последствия неправильного применения домашних растворов и смесей с перекисью? По совету стоматолога вы приобрели защитный гель с карболовой основой? Испытайте действие доступных составов, осветляющих эмаль.
Для домашнего отбеливания подходит раствор перекиси водорода концентрации 3%.
Лучшие рецепты:
- способ №1. Проведите вечернюю чистку зубов. Обработайте зубной ряд гелеобразной массой, купленной по совету стоматолога. В стакан воды налейте 50 мл чуть тёплой воды, прибавьте 20 капель перекиси. Раствором прополощите рот в течение 10–15 секунд, удалите состав, ещё раз прополощите полость рта чистой водой;
- способ №2. Соедините пероксид водорода с зубной пастой. На обычное количество очищающего состава для гигиенической процедуры достаточно 2–3 капли перекиси. Ватной палочкой нанесите специальный гель, затем покройте осветляющей смесью каждую единицу. Держите состав не более 15 секунд, после процедуры хорошо прополощите рот;
- способ №3. Приготовьте смесь из чайной ложечки соды и перекиси, добавьте 0,5 ч. л. лимонного сока. Подождите, пока частички соды растворятся, ватной палочкой протрите эмаль, хорошо прополощите рот негорячей водой.
Обработку потемневших участков проводите 1–2 раза в течение недели. Слишком частое применение отбеливающих составов нанесёт вред эмали.
Возьмите на заметку:
- никогда не наносите на зубной ряд аптечный раствор в чистом виде;
- слишком активное воздействие негативно сказывается на крепости эмали и дентина;
- советы «знающих» людей без медицинского образования, заметки на форумах могут лишить ваши зубы защитного слоя;
- повышенная чувствительность зубов – неприятное состояние, с которым придётся сталкиваться ежедневно.
Рецепты
Существует несколько способов или рецептов, воспользовавшись которыми можно в домашних условиях сделать свои зубы более светлыми, чем они стали со временем.
Конечно, если эмаль имеет более темный, чем хотелось бы оттенок изначально, с рождения, то здесь вряд ли помогут даже профессиональные дорогие методики. Во всех остальных случаях можно добиться хорошего эффекта, если следовать указаниям и четко соблюдать методику.
Итак, вот несколько довольно простых и доступных рецептов, которые помогут получить сверкающую белизной улыбку без особенных затрат средств и времени.
Советуем ознакомиться с отзывами о лазерном отбеливании зубов. Что говорят сами пациенты?
Чем еще можно осветлить эмаль в домашних условиях? Предлагаем несколько способов.
Ну а тут: http://www.vash-dentist.ru/krasota-i-uxod/otbelivanie/lazernoe/zubov-zoom-3-opisanie-protseduryi-i-otzyivyi-o-ney.html — вас ждут отзывы об отбеливании зубов лампой Zoom 3.
Полоскания
Наиболее простой рецепт, который не требует смешивания ингредиентов и приготовления специальных средств. Он должен проходить в три обязательных этапа.
- Чистка зубов. Для этого используют зубную пасту, в которой повышенное содержание фтора. Этот элемент используется для обогащения эмали и может препятствовать ее разрушению. Соответственно, здесь зубы укрепляются для противодействия агрессивному компоненту, которым является перекись.
- Непосредственно полоскание. Для этого имеющийся раствор перекиси следует разбавить водой. Обычное для этого соотношение – один к одному. Иногда может использоваться и сочетание один к трем, которое больше подойдет для людей с очень нежной слизистой.
- Последний этап заключается в тщательном очищении полости рта от используемого для отбеливания средства. Необходимо очень хорошо прополоскать рот чистой, немного теплой водой.
После проведения процедуры нужно воздержаться от еды или питья в течение первого получаса.
С добавлением соды

Фото: паста из перекиси водорода и соды
Сода – одно из веществ, которые в домашних условиях могут использоваться для осветления эмали. Однако его принцип действия кардинально отличается от того, как действует перекись водорода.
Отбеливание содой основано на физическом воздействии на поверхность зубов, так как сода является абразивным веществом, а перекись провоцирует химическую реакцию.
Одновременное использование этих двух компонентов предполагает более быстрый и заметный эффект, так как с помощью соды хорошо счищается налет с поверхности, в короткие сроки, улучшая их внешний вид, а перекись проникает в эмаль, производя отбеливание изнутри.
- Приготовление заключается в смешивании в равных пропорциях раствора перекиси (3%) и обычной пищевой соды.
- Хорошо размешать полученную смесь. Должна получиться мягкая нежная кашица. Именно она используется для отбеливания. Однако не стоит пользоваться щеткой для чистки, так как это будет слишком сильное и агрессивное воздействие.
- Смесь аккуратно с помощью ватной палочки или пальца наносят на поверхность зубов, стараясь при этом не задеть мягких тканей – слизистой и десен, чтобы избежать возможных раздражений.
- Смесь держат около трех минут, немного массируя, после чего полностью смывают водой комнатной температуры.
- Завершает процедуру обычная чистка зубов с помощью щетки и пасты, которую проводят после полоскания.
Обогащаем пасту
Есть еще один рецепт, предполагающий использование перекиси, который можно применить для отбеливания эмали дома. Он заключается в обогащении своей привычной зубной пасты.
- Перед каждой чисткой нужно в небольшое количество пасты, достаточное для процедуры, добавить несколько капель сока лимона и раствора перекиси.
- Тщательно перемешивают все ингредиенты для получения однородного состава, который используется для обычной чистки.
- Процедура должна продолжаться не менее двух минут, лучше довести до трех минут.
Последний этап, как и в случае использования других рецептов – тщательное полоскание полости рта для удаления остатков чистящего и отбеливающих средств. В лимонном соке содержится натуральная кислота, которая помогает удалить поверхностные отложения на эмали и делает методику более эффективной.
Можно ли отбелить зубы перекисью водорода?
С возрастом у каждого человека истончается зубная эмаль, она покрывается незаметными для невооруженного глаза шероховатостями. В результате курения, регулярного приема пищи, содержащей красители, а также употребления кофе и чая на поверхности зубов образуется своеобразная пигментированная пленка, плотно прикрепляющаяся к шероховатой поверхности зубов.
Удалить её при помощи даже самой дорогой пасты невозможно, поэтому для возвращения красивой улыбки необходимо периодически проводить процедуру отбеливания. Чтобы не навредить эмали, подобную процедуру лучше доверить специалистам. Однако при отсутствии такой возможности можно прибегнуть и к щадящим средствам в домашних условиях.
При возникновении необходимости отбелить зубы дома многие люди применяют именно перекись водорода. Это средство действительно работает как эффективный отбеливатель и способно устранять желтый налет, пигментные пятна и потемнения.
Стоматолог о преимуществах и недостатках отбеливания зубов перекисью:
Принцип действия
Проникая в эмаль и дентин зуба, препарат вступает в реакцию с зубными тканями, выделяя кислород, от влияния которого органические вещества распадаются на более простые соединения. Таким образом, кислород способствует удалению налета.
Иногда перекись применяется в качестве антисептика — при простудных заболеваниях ею полощут горло. Для подобных полосканий применяется слабоконцентрированный раствор, который не влияет на эмаль, но и не оказывает отбеливающего эффекта.
Механизм действия активного вещества
Перекись водорода используется во всех областях медицины на протяжении более 200 лет. Многие врачи назначают ее применение в домашних условиях для восстановления десен и слизистой полости рта. Пациенты, стремящиеся достичь искрящегося блеска зубов, не опасаются использовать данное вещество без назначения. Такое отношение может привести к опасным последствиям. Чтобы лучше разобраться в особенностях воздействия перекиси водорода и предотвратить негативные реакции, ознакомьтесь с ее свойствами.
- Вещество известно своим антисептическим действием. Вопреки устоявшемуся мнению, оно может оказать прямо противоположный эффект, увеличив время заживления повреждений. Так происходит вследствие использования жидкости высокой концентрации. При применении перекиси водорода под наблюдением врача заживление десен и слизистой будет происходить в предельно короткие сроки.
- Взаимодействуя с компонентами, содержащимися в живой ткани, пероксид сильно пенится. Данное свойство полезно для размягчения и отслоения отмерших участков, нагноения и сгустков крови. Обработка полости рта и десен этой жидкостью упрощает устранение воспалений.
- Пероксидом можно чистить любые загрязнения на поверхности зубов. Жидкость окисляет чужеродные вещества, скапливающиеся на эмали, что позволяет убрать их без особых усилий. В этом заключается суть отбеливающего эффекта перекиси водорода.
Хоть пероксид и считается лечебным средством, он обладает способностью разрушать ткани. Если чистить или полоскать данной жидкостью либо раствором на ее основе чувствительные зубы, то болезненных ощущений не избежать. При слабой и тонкой эмали от данного способа лучше отказаться!
Как отбелить зубы в домашних условиях?
Помимо кабинетных технологий, существуют и домашние методики отбеливания. К ним стоматологи относятся настороженно, ведь отбелить зубы за 5 минут невозможно даже при использовании аппаратов. Но те, кто уверен в собственных силах, и готовы следовать строгим инструкциям, могут попытаться осветлить улыбку, не выходя из дома.
Отбеливающие зубные пасты
Наиболее доступный вариант, при котором безопасное отбеливание зубов действительно возможно. Абразивные свойства паст при правильной чистке помогают визуально осветлить улыбку, но не избавят от глубокого налета или зубного камня.
Отбеливающая паста
Эффект достигается благодаря следующим моментам:
- В пастах содержатся папаин и бромелайн – ферменты, которые разрушают слабый налет на белковом уровне.
- Пирофосфат калия – если в составе указано это соединение, то периодическая чистка способствует смягчению камня, и его потом легче снимать, но строго в кабинете стоматолога.
Пользоваться большинством паст, продающихся в аптеках, можно не чаще 1-2 раз в неделю. Иначе абразивные частицы портят эмаль, и она еще быстрее подвергается окрашиванию крепким чаем, кофе и другими продуктами, употребление которых придется ограничить.
Интересный факт Приемлемый индекс абразивности зубной пасты – 75. С таким коэффициентом можно безбоязненно чистить зубы каждый день, раз в месяц наблюдаясь у стоматолога. Если на тюбике и упаковки нет никаких цифр – покупать пасту не рекомендуется.
Наборы для отбеливания – каппы, маркеры и полоски
Достаточно популярные каппы с отбеливающими гелями – неплохая альтернатива, но пользоваться ими можно только при чутком руководстве врача. Надеяться на быстрый эффект не стоит, потому что концентрация гелей для них ниже 10%, что приводит к следующим результатам:
- финальное осветление максимум на 1-2 тона;
- длительность курса может превышать 2-3 месяца;
- если у пациента большое количество зубного камня – эффект будет нулевым;
- риск раздражения десен при частом ношении.
Благодаря щадящему составу, эмаль не повреждается, а ожоги – следствие несоблюдения инструкции. Но держаться белоснежная улыбка после капп будет не дольше 4-5 месяцев, после чего процедуру придется проходить заново, или решиться на аппаратное отбеливание.
Каппы с отбеливающим гелем
То же самое можно сказать и про отбеливающие полоски для зубов. Они, как и специальные карандаши, дают временный визуальный эффект. Единственный плюс – осветление на 3-4 тона, но при этом остается риск повышения чувствительности эмали.
Средства для домашнего отбеливания
Обратите внимание, что рецепты не избавят вас от зубного камня или кариеса, которые портят внешний вид улыбки (рекомендуем прочитать: ). Они помогут устранить налет и сделать улыбку белее и привлекательней
Вариантов домашнего отбеливания зубов очень много, но практически все они основаны на использовании 3 основных действующих компонентов: соды, перекиси водорода и лимона.
Перекись водорода
Это химическое вещество относится к разряду окислителей, поэтому способно осветлять, то есть устранять пигмент. Чтобы отбелить эмаль, понадобиться пероксид в концентрации 3%. Его можно приобрести в аптеке.
Существует несколько способов осветления перекисью:
- Разведите ее с водой в соотношении 1:1 и полоскайте рот в течение 60 секунд. Далее на протяжении получаса споласкивайте зубы теплой чистой водой.
- Смешайте перекись водорода и соду до получения однородной кашицы и с помощью ватной палочки нанесите на зубы, избегая соприкосновения с деснами. Спустя 1-3 минуты прополоскайте рот чистой теплой водой и почистите зубы пастой с содержанием фтора.
- Перед тем, как чистить зубы, выдавите небольшое количество пасты на блюдце, добавьте несколько капель перекиси и размешайте. Средство используется ежедневно до достижения желаемого эффекта.
Так как перекись водорода проникает во все ткани, при длительном контакте она повреждает эмаль. Стоматологи рекомендуют использовать ее не чаще 2 раз в месяц. Иначе зубы истончатся и приобретут серый цвет.
Сода в сочетании с другими компонентами
Этот продукт обладает мягкими абразивными свойствами, что позволяет очистить эмаль максимально эффективно и безопасно. К тому же сода имеет антибактериальные свойства, что помогает устранить неприятный запах и воспаление десен.
Перед применением смешайте порошок с водой. При желании можно добавить перекись, сок лимона, эфирное масло чайного дерева. Далее при помощи зубной щетки следует нанести смесь и оставить на 1-3 минуты. По истечении времени прополоскайте рот водой.
Попробуйте приготовить пасту из соды и клубники. Эта ягода эффективно отбеливает и питает десны витаминами и минералами. Возьмите 2-3 крупные ягоды, разотрите их, добавьте половину ч. л. соды и размешайте. Такой состав можно держать на зубах не более 10 минут, после чего смыть и почистить обычной пастой.
Следует аккуратно использовать предложенные методы. Частое применение соды приводит к кровоточивости десен, раздражению кожи вокруг рта и чувствительности зубной эмали.
Лимон
В этом цитрусе содержится большое количество лимонной кислоты, которая положительно влияет на костную ткань и делает ее белоснежной. Издавна фрукт использовали для осветления волос, кожи и зубов.
Используйте лимон одним из удобных для вас способом:
- Отрежьте небольшой кусочек и протрите им зубы. Спустя 10 минут прополоскайте рот.
- Если пожелтение эмали сопровождается кровоточивостью десен, добавляйте несколько капель лимона в пасту при каждой чистке.
- Возьмите мякоть с кожурой и тщательно прожевывайте ее всеми зубами по очереди в течение 10 минут.
- Возьмите стакан теплой воды, добавьте в него сок половины лимона и полоскайте таким раствором рот каждый раз после чистки зубов.
Цитрус является сильным аллергеном, поэтому перед использованием проведите тест на чувствительность. Если не появиться неприятных последствий, может использовать эти рецепты.
Другие методы
Существуют и другие продукты, способные сделать вашу улыбку белоснежной. Если вам по каким-либо причинам нельзя использовать вышеперечисленные методы, попробуйте эти варианты.
- Активированный уголь, который, как известно, является сильным адсорбентом, впитывающим грязь и обеззараживающим. Таблетки необходимо измельчить до состояния порошка, смешать с зубной пастой или использовать самостоятельно.
- Для безопасного устранения зубного налета специалисты рекомендуют применять эфирное масло чайного дерева. Оно не способно кардинально поменять цвет зубов, но оздоравливает ротовую полость и улучшает состояние эмали и десен. Капните несколько капель на зубную щетку или в стакан теплой воды. Заметный эффект вы увидите через 3-4 недели.
- Если вы не доверяете народным методам, обратитесь к аптечным средствам. На полках вы найдете гели, карандаши и пасты с высокой концентрацией отбеливающих веществ. При строгом соблюдении инструкции процедура пройдет максимально эффективно и безопасно.
Отбеливание зубов перекисью водорода в домашних условиях
Есть несколько известных и применяемых на протяжении многих лет способов, как отбелить зубы составами и растворами с перекисью водорода в домашних условиях. Главное делать это без вреда для эмали, что поможет быстро и эффективно справиться с начинающейся проблемой. Применение безопасного рецепта непременно даст результаты. Такой способ можно отнести к контролируемому домашнему отбеливанию. Главное – строгое соблюдение предписанной дозировки.

Интересно! Можно ли протирать лицо перекисью водорода каждый день
Ниже приводятся хорошо зарекомендовавшие себя народные средства, назначение которых – отбелить зубы перекисью водорода. Их применяют в домашних условиях. Строгое соблюдение указанных пропорций, продолжительности и последовательности действий позволит заняться недорогими процедурами без вреда для зубной эмали.
Еженедельное или ежедневное полоскание
Применять можно только раствор, предназначенный для бытового использования. Это та самая 3% перекись, которая неизменно упоминается в рецептах. Именно она упоминается в списках чудесных способов отбеливания зубов. Процедуру следует проводить раз в неделю, лучше всего – в выходной, поскольку принимать пищу после процедуры нельзя в течение получаса.
Полоскание 3% раствором не должно длиться более 10 секунд. При ощущении пощипывания не стоит волноваться. Главное затем прополоскать рот теплой водой и воздержаться от еды и напитков на протяжении получаса. Более эффективного осветления можно добиться, если проделывать это каждый день. Уже через 2 недели результат будет виден.

Раствор и щетка для чистки зубов
Простая процедура, которая проводится в четыре этапа и позволяет отбелить зубы перекисью водорода в домашних условиях без вреда эмали:
- утром готовится раствор из воды и перекиси, добавленных в емкость в равных пропорциях;
- после чистки зубов пастой с добавлением фтора рот ополаскивается;
- на протяжении минуты промытую щетку окунают в раствор и чистят язык и зубы;
- затем нужно снова прополоскать рот теплой водой;
- до приема пищи и употребления напитков нужно подождать 30 минут.

По словам экспертов, наиболее эффективными методами в этом нелегком сражении за красивую улыбку являются двух- или трехкомпонентные рецепты с применением средств, которые есть в каждом доме на полочке в ванной или в кухонном шкафчике.
Сода и перекись
Показаниями к отбеливанию в домашних условиях называют изменения, вызванные:
- употреблением напитков и пищи, в которой есть красители;
- курением (налет курильщика);
- игнорированием предписаний по гигиене полости рта.

Компоненты смешивают до состояния густой кашицы. Приготовленную смесь наносят на зубы и выдерживают 3 минуты. После этого следует почистить зубы пастой, в составе которой есть фтор. Для нанесения раствора можно использовать ватную палочку или чисто вымытые пальцы, но не жесткую щетку.
Трехкомпонентное полоскание
Перекись водорода смешивают с теплой водой в пропорции 1:2, добавляют 1/3 чайной ложки соли и соды, тщательно перемешивают. Полученным раствором полощут рот на протяжении трех минут. После ополаскивания и небольшого перерыва можно приступать к завтраку.

Чистка с тремя активными компонентами
Сода, перекись и лимонный сок известны своими отбеливающими свойствами. Вместе они усиливают эффект. 2-3 капли сока цитруса и перекиси смешивают с содой до получения кашицеобразной массы, а затем полученным составом чистят зубы, используя мягкую щетку. Результат заметен даже после разового применения.
Рецепты средств для отбеливания
Имеется несколько методов применения перекиси водорода для отбеливания зубов. Их можно с легкостью применять самостоятельно дома.
Важно! Если цвет зубной эмали с рождения темный, то использование этих методов будет бесполезным. В этих ситуациях не помогут даже профессиональные методики
Во всех остальных случаях можно добиться положительного результата, но при точном соблюдении всех рекомендаций.
Полоскания
Наиболее простым методом применения перекиси водорода, при котором не нужно делать смешивание ингредиентов и приготовление специальных лечебных средств, является полоскание. Но для того чтобы в результате получить положительный эффект данная процедура должна проводиться в три этапа:
- Для начала применяется очищение зубов. Применять стоит зубную пасту с высоким уровнем фтора. Этот компонент применяется для обогащения эмали и обычно препятствует процессу ее разрушения. На этом этапе происходит повышенное укрепление зубов, которое будет выступать защитой агрессивного влияния перекиси на структуру зубов;
- На втором этапе выполняется полоскание. При полоскании используется раствор с перекисью. Для этого перекись водорода растворяется в воде 1:1. Иногда применяется 1:3, эту смесь рекомендуется для людей с повышенной чувствительностью слизистого слоя полости рта;
- В конце производится промывание ротовой полости от перекиси водорода. Для этого используется чистая теплая вода.

Для обработки полости отбеливающим раствором, необходимо хорошо почистить зубы, смешать перекись с обычной водой в правильной пропорции, прополоскать зубы раствором, в конце ополоснуть чистой водой.
После применения данной процедуры отбеливания зубов рекомендуется воздержаться от употребления пищи и питья на протяжении первых 30 минут.
С добавлением пищевой соды
Пищевая сода – это один из компонентов, который может применяться дома для отбеливания зубов. Но стоит учитывать, что ее действие во многом отличается от степени отбеливания перекисью водорода.
Отбеливание зубов пищевой содой основано на физическом влиянии на поверхностный слой, потому что сода относится к абразивным веществам. А вот перекись водорода провоцирует возникновение химической реакции.
Для отбеливания зубов используют специальную смесь на основе перекиси и пищевой соды. Главное нужно использовать правильные пропорции, а также уметь использовать эти компоненты для отбеливания.
Особенности приготовления и применения смеси с перекисью и пищевой соды:
- При приготовлении средства нужно смешать перекись водорода 3 % и пищевой соды в равных пропорциях;
- Эти компоненты рекомендуется хорошенько перемешать оба компонента. В результате должна получиться кашица с мягкой и нежной консистенцией. Во время ее нанесения не рекомендуется применять зубную щетку, потому будет сильное воздействие, которое может оказать негативное влияние на зубы;
- Готовую смесь необходимо нанести на поверхность зубов при помощи ватной палочки или пальца. При нанесении стоит быть аккуратным, чтобы не задеть слизистую оболочку десен, иначе может возникнуть сильное раздражение;
- Смесь следует подержать на зубах около трех минут, необходимо немного массировать для улучшения эффекта;
- После этого все смывается водой и производится очищение зубов щеткой и зубной пастой.

Можно сделать домашнюю пасту для отбеливания зубов, для этого достаточно смешать перекись водорода и пищевую соду в равных пропорциях. Данную смесь нужно аккуратно наносится на эмаль, избегая попадание на слизистые оболочки.
Главное нужно правильно соблюдать все рекомендации по использованию способов отбеливания зубов перекисью водорода. Также при утренней и вечерней очистке зубов можно в пасту добавлять несколько капель перекиси, то также позволит улучшить структуру эмали зубов.



























